Заболевания слизистой оболочки рта и губ имеют достаточно широкую распространённость среди населения. Наиболее часто обращаются за помощью к врачу-стоматологу пациенты, страдающие хроническими рецидивирующими заболеваниями слизистой оболочки рта и губ (ХРАС, ХРТГ, РГС, КПЛ).
И.В.Анисимова к.м.н., ассистент кафедры терапевтической стоматологии, ОмГМА
А.А.Перемотин врач стоматологической клиники “СибДент”, г. Омск
Клинические наблюдения и научные исследования за последние десятилетия показали, что в организме нет ни одного системного нарушения, которое в той или иной мере не отражалось бы на состоянии слизистой оболочки рта (СОР) и губ. В настоящее время в научных публикациях имеются сведения о том, что ряд хронических заболеваний СОР (КПЛ, пузырчатка и другие) имеют тенденцию к “омоложению” и диагностируются у лиц в среднем и молодом возрасте [7, 9].
Поражение красной каймы губ и кожи околоротовой области (РГС, хейлиты) часто сопровождается множественными морфологическими элементами (пузырьки, чешуйки, корки), которые, нарушая эстетику лица, особенно у молодых пациентов вызывают физические страдания и нередко приводят к социальным проблемам, а именно к формированию комплекса неполноценности.
Некоторые заболевания (КПЛ, ХРАС, ХРТГ, хейлиты) довольно часто сочетаются c хроническими неспецифическими инфекционно-воспалительными заболеваниями пародонта, с гальванозом (при наличии в полости рта разнородных металлических ортопедических конструкций). Нередко хронические заболевания слизистой оболочки рта осложняются вредными привычками (курение) и тяжелой соматической патологией (сахарный диабет, заболевания ЖКТ, гипертоническая болезнь и другие), которые в комплексе приводят к изменению клинического течения болезней СОР. В результате этого в клинике заболеваний СОР появляются новые симптомы, которые могут привести к неправильной или неточной диагностике и, как следствие, к отсутствию положительной динамики, неэффективности лечения и формированию резистентности к лечебным мероприятиям.
Из изложенных литературных сведений становится очевидным, что для успешной терапии воспалительных заболеваний пародонта, СОР и губ наряду с правильной постановкой диагноза имеет большое значение выбор адекватного метода лечения. Для достижения этой цели необходим научно-обоснованный подход к выбору методов терапии с учётом этиологических и патогенетических факторов в развитии патологии.
Научные исследования [3, 11] показали, что основным принципом этиотропного лечения гингивита и пародонтита является подавление роста и размножения микроорганизмов.
Многие исследователи [9], ссылаясь на полиэтиологическую природу большинства заболеваний СОР и губ, считают, что наиболее рациональным методом лечения названной патологии является комплексная терапия, одновременно воздействующая на ряд патогенных факторов. Одним из звеньев комплексной терапии заболеваний пародонта и СОР является местное применение противомикробных препаратов. В качестве противомикробного и противовоспалительного препарата, согласно экспериментальным исследованиям [10] и клиническим наблюдениям [1, 4], для лечения болезней пародонта, СОР и губ был рекомендован гель “Метрогил Дента”.
В настоящее время в качестве противомикробного и противовоспалительного препарата для лечения инфекционно-воспалительных процессов в полости рта в помощь врачам-стоматологам индийская фирма “Юник Фармасьютикал Лабораториз” выпускает стоматологический гель “Метрогил Дента профессиональный”, который состоит из двух компонентов: метронидазола — до 250 мг и хлоргексидина — до 1 мг.
Клинические исследования, проведённые авторами [5], показали высокую эффективность стоматологического геля “Метрогил Дента профессиональный” в местном лечении больных с воспалительными заболеваниями пародонта и СОР (ХРАС, ЯНГ, КПЛ).
Целью настоящего исследования явилась сравнительная оценка эффективности локального применения препаратов “Метрогил Дента” и “Метрогил Дента профессиональный” в комплексном лечении хронических воспалительных заболеваний СОР и губ.
Клинико-лабораторное обследование пациентов с различными нозологическими формами заболеваний СОР и губ проводили на клинической базе кафедры терапевтической стоматологии ОмГМА в ГКСП №1 г. Омска.
Обследовано 169 пациентов в возрасте от 40 до 79 лет. У 40 из них был диагностирован хронический рецидивирующий афтозный стоматит (ХРАС), у 34 — язвенно-некротический гингивит (ЯНГ), у 38 — красный плоский лишай, эрозивно-язвенная форма (КПЛ), у 40 — механическая травма СОР, у 17 — хроническая рецидивирующая трещина губы (ХРТГ). Для наблюдения за динамикой болезни и эффективностью лечения пациентов были сформированы 2 клинические группы. 1 группа (контрольная) состояла из 90 пациентов, 2 группа (опытная) состояла из 79 пациентов. Количественное распределение пациентов по нозологическим формам заболеваний СОР и губ в различных группах представлено в табл. 1.
| Заболевание | Контрольная группа (“Метрогил Дента гель”) | Опытная группа (“Метрогил Дента профессиональный”) |
|---|---|---|
| ХРАС | 17 | 23 |
| ЯНГ | 14 | 20 |
| КПЛ | 18 | 20 |
| ТРАВМА | 20 | 20 |
| ХРТГ | 10 | 7 |
В контрольной группе в комплексном лечении заболеваний СОР и губ локально применяли гель “Метрогил Дента” с содержанием в препарате метронидазола 1% и хлоргексидина 0,25%, в опытной — гель “Метрогил Дента профессиональный” с содержанием в препарате метронидазола 25% и хлоргексидина 1%.
Клиническое и лабораторное обследование пациентов обеих групп со всеми нозологическими формами заболеваний СОР и губ проводили согласно рекомендациям авторов [1], используя предложенный алгоритм комплексного обследования больных с патологией СОР и губ. Всем пациентам было проведено лабораторное обследование крови (микрореакция преципитации, общий клинический анализ, тест на содержание глюкозы); визуальная оценка ротовой жидкости (количество, пенистость); определение электрохимического потенциала полости рта (у лиц с металлическими ортопедическими конструкциями). Пациенты с выявленной соматической патологией были консультированы специалистами (гастроэнтеролог, эндокринолог, невропатолог, иммунолог). Пациенты, у которых заболевание сочеталось одновременно с поражением кожи, были консультированы дерматологом с последующим наблюдением у специалиста за динамикой болезни и проведением контроля выполнения лечебных рекомендаций.
В план комплексного лечения пациентов со всеми нозологическими формами заболеваний СОР и губ включали общие и местные лечебные мероприятия.
Общие лечебные мероприятия включали:
При местном лечении в качестве противомикробного и противовоспалительного средства мы применяли препараты “Метрогил Дента” и “Метрогил Дента профессиональный” в виде гелей. При язвенно-некротическом гингивите (ЯНГ) гель “Метрогил Дента” на стоматологическом приёме вносился в десневую борозду с помощью шприца с тупой иглой (1 раз в день) и в домашних условиях — на область десён (2 раза в день). Время экспозиции — 30 минут. Стоматологический гель “Метрогил Дента профессиональный” вносили в десневую борозду и на область повреждённых участков дёсен 1 раз в день на стоматологическом приёме. Время экспозиции — 30 минут. При лечении заболеваний СОР (ХРАС, КПЛ, травма) и губ (ХРТГ), которые сопровождались признаками воспаления и нарушением целостности эпителия (в виде эрозии, язвы, трещины), мы локально применяли исследуемые препараты. На участок повреждения наносили гель “Метрогил Дента” 2-3 раза в день в домашних условиях — экспозиция 30 минут, и “Метрогил Дента профессиональный” 1 раз в день на стоматологическом приёме — экспозиция 30 минут. После нанесения геля (как “Метрогил Дента”, так и “Метрогил Дента профессиональный”) пациенты воздерживались от питья и приёма пищи в течение 30 минут. Количество лечебных процедур зависело от тяжести поражения. У всех пациентов наблюдалась хорошая переносимость препаратов и не отмечалось побочных явлений.
При оценке клинических результатов лечения заболеваний СОР препаратами (“Метрогил Дента” и “Метрогил Дента профессиональный”) мы исходили из бактерицидных свойств хлоргексидина и анаэробицидного действия метронидазола. За положительную динамику лечения пациентов с различными нозологическими формами болезней СОР мы принимали минимальный срок наблюдения (3 дня), в течение которого устранялись признаки воспаления слизистой оболочки рта и наблюдалась тенденция к заживлению эпителия. При анализе результатов лечебного эффекта исследуемых гелей и сроков наблюдения мы исходили из известного научного факта [2], констатирующего, что в условиях физиологии полости рта репаративная регенерация слизистой оболочки происходит в течение одного-трёх дней.
Клиническое улучшение, регистрируемое при осмотре и опросе обследуемых пациентов, оценивали по следующим признакам:
Статистическую обработку полученных результатов лечения заболеваний СОР препаратами “Метрогил Дента” и “Метрогил Дента профессиональный” проводили методом анализа последовательных планов по Коулу [6] (рис. 1).

Рис. 1. Последовательный план по Коулу (2ά ≈0,10 или =0,10; β≈0,10 или = 0,10; р+=0,7)
Результаты лечения заболеваний СОР и губ препаратами “Метрогил Дента” и “Метрогил Дента профессиональный” показали, что локальное использование гелей в комплексной терапии приводит в обоих случаях к устранению признаков воспаления и заживлению дефектов эпителия, но в различные сроки наблюдений. Анализ показателей сроков заживления эпителия при заболеваниях СОР (ХРАС, КПЛ, ЯНГ) и губ (ХРТГ), представленных в табл. 2, свидетельствует о преимуществе лечебного эффекта геля “Метрогил Дента профессиональный”.
| Заболевание | “Метрогил Дента профессиональный” | “Метрогил Дента” гель | ||
|---|---|---|---|---|
| Количество пациентов | Сроки заживления | Количество пациентов | Сроки заживления | |
| ХРАС | 17 | 5 | 23 | 9 |
| ЯНГ | 14 | 4 | 20 | 7 |
| КПЛ | 18 | 7 | 20 | 10 |
| ТРАВМА | 20 | 3 | 20 | 3 |
| ХРТГ | 10 | 5 | 7 | 7 |
Результаты лечения травматических поражений СОР, графически представленные на рис. 2, свидетельствуют о равнозначном терапевтическом эффекте обоих препаратов, так как между показателями результатов лечения отсутствует статистически значимое различие. Оба препарата за короткие сроки лечения (3 дня) способствуют полному заживлению острых травматических поражений СОР.

Рис. 2. Последовательный план по Коулу (2ά ≈0,10 или =0,10; β≈0,10 или = 0,10; р+=0,7) клинических испытаний препаратов «Метрогил Дента профессиональный» и «Метрогил Дента» при лечении пациентов с травматическими поражениями СОР
Результаты лечения хронических воспалительных заболеваний (ХРАС, ЯНГ, ХРТГ), графически представленные на рис. 3, 4, 5, показывают статистически значимый лечебный эффект препарата “Метрогил Дента профессиональный”. Результаты местного лечения КПЛ, представленные на рис. 6, также свидетельствуют о лучшем терапевтическом эффекте геля “Метрогил Дента профессиональный”. Гель “Метрогил Дента профессиональный” статистически значимо за более короткие сроки наблюдения (5-7 дней) по сравнению с гелем “Метрогил Дента” (7-10 дней) приводит к устранению признаков воспаления и заживлению эрозивных поверхностей эпителия.

Рис. 3. Последовательный план по Коулу (2ά ≈0,10 или =0,10; β≈0,10 или = 0,10; р+=0,7) клинических испытаний препаратов Метрогил Дента профессиональный” и “Метрогил Дента” при лечении пациентов с хроническим рецидивирующим афтозным стоматитом

Рис. 4. Последовательный план по Коулу (2ά ≈0,10 или =0,10; β≈0,10 или = 0,10; р+=0,7) клинических испытаний препаратов “Метрогил Дента профессиональный” и “Метрогил Дента” при лечении пациентов с язвенно-некротическим гингивитом

Рис. 5. Последовательный план по Коулу (2ά ≈0,10 или =0,10; β≈0,10 или = 0,10; р+=0,7) клинических испытаний препаратов “Метрогил Дента профессиональный” и “Метрогил Дента” при лечении пациентов с хронической рецидивирующей трещиной губы

Рис. 6. Последовательный план по Коулу (2ά ≈0,10 или =0,10; β≈0,10 или = 0,10; р+=0,7) клинических испытаний препаратов “Метрогил Дента профессиональный” и “Метрогил Дента” при лечении пациентов с эрозивной формой красного плоского лишая
Стоматологический гель “Метрогил Дента профессиональный” показал противомикробную и противовоспалительную эффективность в связи с высокими концентрациями действующих веществ и может быть локально использован в комплексном лечении заболеваний СОР и губ. Однако врачам-стоматологам следует помнить, что препарат применяется только на стоматологическом приеме в условиях поликлиники. Для самостоятельного использования пациентам можно рекомендовать применение геля для десен “Метрогил Дента”.

Рис. 7 Травматическая язва языка. Клиническая ситуация до лечения. На боковой поверхности языка язва, округлой формы, покрытая фибринозным налетом; края язвы отёчные, приподняты над уровнем эпителия, мягкие при пальпации

Рис. 8 Травматическая язва языка. Клиническая ситуация после комплексного лечения.Устранение травматического фактора и медикаментозное лечение привели к полному восстановлению эпителия. На боковой поверхности языка на месте бывшей язвы – “нежный”, светло-серого цвета рубец

Рис. 9 Травматическая язва языка. Клиническая ситуация до лечения. На кончике языка язва округлой формы, с приподнятыми краями, покрытая фибринозным налётом серого цвета

Рис. 10 Травматическая язва языка. Клиническая ситуация в динамике лечения. После устранения травматического фактора и проведения медикаментозного лечения отмечается тенденция к очищению и заживлению язвы

Рис. 11. Механическая травма нижней губы. Клиническая ситуация до лечения. Язва на нижней губе, покрытая чешуйками и корками

Рис. 12. Клиническая ситуация после лечения. Отсутствуют чешуйки и корки на красной кайме нижней губы. Отмечается заживление язвы

Рис. 13. Хроническая трещина нижней губы. Клиническая ситуация до лечения. Вертикальная трещина с явлениями гиперкератоза на гиперемированной, отёчной нижней губе

Рис. 14. Клиническая ситуация после комплексного лечения. Полное заживление трещины нижней губы

Рис. 15. Хроническая латеральная трещина нижней губы. Клиническая ситуация до лечения

Рис. 16. Клиническая ситуация после комплексного лечения. Дефект нижней губы в виде латеральной трещины полностью устранён за счёт снятия воспаления и заживления эпителия красной каймы

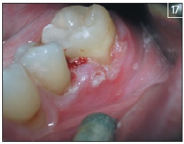
Рис. 17. Травматическое поражение десневого сосочка, маргинальной и альвеолярной десны в области 35, 36 зубов виде мелких эрозивных участков. Клиническая ситуация до лечения

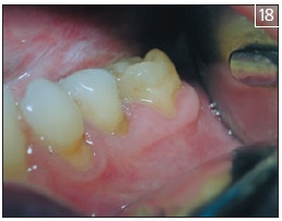
Рис. 18. Клиническая ситуация после комплексного лечения. Все элементы десны приобрели бледно-розовую окраску. Произошло полное заживление эпителия десны