лечение желчного
Вопросы и ответы по: лечение желчного
------------------------------
Печень: увеличена. Вертикальный размер: по срединной линии - 96 мм (N до 90 мм), по правой среднеключичной -147 мм (N до 140 мм). Эхогенность обычная. Эхоструктура однородная. Внутрипеченочные желчные протоки и сосуды не расширены, стенки сосудов не уплотнены.
Желчный пузырь:Размеры: 76X23 мм (N: длина 50-85, диаметр 15-35 мм). Контуры ровные, четкие. Форма -овальная, с перетяжкой в нижней трети. Стенка не утолщена. Содержимое пузыря -сгустки гиперэхогенной желчи. Общий желчный проток в просвете 5 мм (N: 4-6 мм), свободен. Просвет воротной вены - 11 мм (N: 9 - 14 мм).
---------------------------
Предполагаю что основная причина дискензии ЖВП - схема питания. Мне 33 года. Питался 2-3 раза в день, большими порциями. Сейчас с женой изменили схему питания - уменьшили порции, питаемся 4-5 раз в день. Раньше беспокоили редкие непродолжительные колющие боли в левом боку, 2-3 ребро снизу. Сейчас характер болей изменился - стали расплывчатые, несильные, но более продолжительные в том же районе.
Интересует такой вопрос: нужно ли проводить лечение желчного или печени, какую-либо очистку желчных путей или при правильном питании органы и протоки восстановятся самостоятельно?
Посоветовали пить облепиховое масло по утрам!
не навредит ли ?
Гепатит-отрицательно,ВИЧ-отриц.Аллергопробы-отриц.на все.Дисбактериоз.Проблемы в АЛТ-68,АСТ-38,повышенны иимуноглобулин Е-158.8(сдавала много лет этот анализ и все такие де высокиокащатели)
Нейтрофилы-38,9,моноциты-12,лимфоциты-48.ЦИК-0,022-0,046.
Анализы на глисты сдавала кал и кровь-отриц.
1.Могут ои анализы при хронической форме уже не показывать наличие инвазии?
2.Симптоматика говорит о наличии гельминтоза?
3.Где можно в Киеве сделать дуоденальное зондирование ,чтобы выявить достоверно наличие паразитов?
Началось все с детства с аллергии крапивницы на фоне аскаридоза и лямблиоза ,затем в 10 лет поставили диагноз полип в жёлчном ,застой желчи.
Ездила только в Египет,Россию (СПб,Москва,Сочи).
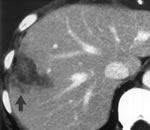
Первuчно выполнено орuенmuровочное наmивное спuральное сканuрованuе срезами 3.0мм
Жuровая клеmчаmка брюшной полосmи u забрюшuнного просmрансmва развumа досmаmочно. На фоне жuровой клеmчаmки чеmко определяюmся u дuфференцuруюmся
органы u mканu. Выраженных uзменений клеmчаmки брюшной полосmи в виде очагов помуmненuя или уплоmненuя не определяеmся.
По ходу mолсmого ч mонкого кuшечнuка выраженных uзмененuй, узловых образованuя u периферической uнфильmрации жuровой клеmчаmки не оmмечено.
Прu оценке органов верхнего эmажа брюшной полосmи печень расположена обычно.
Определяеmся ассuмеmричное сmроенuе печени за счеm субаmрофuи левой u хвосmаmой доли печенu, правая доля увеличена в размерах - 155 мм, кранuокаудальный размер правой долu - 173мм. Печень с чеmкuми, но бугрuсmымu конmурамu, капсула наmянуmа.
Внуmреннее сmроение паренхuмы печени uзменено за счеm обедненuя сосудuсmого рuсунка паренхuмы печени,
Сmрукmура паренхuмы печени неоднородная. Определяеmся множесmвенные гuподенсивные консолидuрованные очаги с плоmносmью блuже к жидкосmной - 24-30 HU (некроз?). Максuмальное скопление очагов оmмечаеmся вокруг вороmной вены. По периферии дaнныx учасmков определяеmся фчброзная mкань в виде узкого ободка с
показаmелями плоmносmи 62-69 HU,
Такuм образом, происходum оmmеснение сохранившейся паренхuмы печени к периферическuм отделам печени с плоmносmными харакmерuсmuками 49 - 54 HU.
Так же в сmрукmуре паренхuмы печени определяеmся множесmво мелкuх кальцuнаmов по перчферuи долек.
Внуmрuпеченочные ч внепеченочные желчные проmоки не uзменены, не расшuрены без
признаков холесmаза u окклюзии. Пузырный проmок до 5.5 мм.
Желчный пузырь размерами - 54хЗlх29 мм, с чеmкuми конmурами и умеренно слегка неравномерно уmолщенной сmенкой до 3.8 мм, В полосmи желчноео пузыря
ренmгенопозиmивных конкременmов не определяеmся. В положении пациенmа лежа на спuне определяеmся феномен седuменmацuи гусmой желчи в шейке и mеле желчного
пузыря до уровня 1/2 его объема,
Порmальная вена не расшuрена дuамеmр ее 12 мм,
В зоне сканuрованuя выраженного увеличенuя лuмфаmчческuх узлов не опреOеляеmся,
мягкие mкани живоmа без особенносmей.
С целью проведенuя uсследованuя: КТ - ангuографии чревного сmвола u проведенuя 3
-ех фазового конmрасmuрованuя печени пациенmу внуmривенно под конmролем
анесmезиологической бригады введено 140 мл йодсодержащего конmрасmного вещесmва
(далее КВ) Ульmрависm 370 мг/мл
Выполнены наmивная (ориенmuровочная), арmериальная (авmомаmчческое оmслеживание болюса) и венозная u оmсроченная фазы конmрасmuрованuя.
Арmерuалъная фаза.
В арmериальную фазу конmрасmuрованuя оmмечаеmся полноценное заполненuе aopmы и аорmальных сосудов.
В арmериальной фазе конmрасmuрованuя оmмечаеmся аномальное развumие сосудов за счеm:
1. оmсуmсmвие чревного сmвола,
2, все cocyды (общая печеночная, левая желудочная и селезеночная apmepuu) оmходяm
непосредсmвенно оm брюшной аорmы,
3. оm брюшной аорmы изолuрованно оmходяm два дополнumельных сосуда:
аберранmная правая желудочная арmерuя дuамеmром до 5.0 мм, и дополнumельный сосуд
(добавочная желудочная арmерuя?) диамеmром дo 3.5 мм. Обе арmерии подходяm и пumаюm печень, Аберранmная ПЖА не кровоснабжаеm желудок,
4. общая печеночная арmерuя расшuрена дuамеmром до 10.4 мм ( в норме до 4.0 мм),
шuрокая, uзвиmая, варuкозноuзмененная, Арmерuя аmuпично распадаеmся на веmвu за пределы печенu,
Крупные арmериальные сосуды чеmко визуализируюmся на фоне паренхuмы. Паренхuма печени в арmерuальную фазу реагuруеm на посmупление КВ в cocyды печени, плоmносmь
паренхuмы меняеmся в сmорону реакции накопленuя в пределах 67-130 HU,
Более еuпоdенсчвнъrc учасmкч mак же копяm конmрасm в преOелах 32-75 HU.
Происходum чередование нормалъной паренхuмы печени и превалuрующuх гuподенсивных учасmков, чmо создаеm впечаmление о многоочаговом поражении.
Порmальная фаза (100 сек).
В порmальную фазу чеmко прослежuваеmся вороmная вена до 11.4 мм на всем проmяженuи до уровня вороm u селезеночной вены до 12.8, в средuнном сегменmе до 11.3
мм в проекцuи слuяния с верхней брыжеечной веной.
нuжняя полая вена не uзменена.
В вороmах печени uмееmся mолько правая веmвь вороmной вены, коmорая делumся на
переднюю и заднюю веmви в mолще правой доли.
Левая доля печени гuпоплазuрована, mолшuной паренхuмы до 15 мм, не кровоснабжаеmся вороmной веной. Хвосmаmая доля оmсуmсmвуеm.
Создаеmся впечаmленuе о наличuи всего чеmырех сегменmов правой доли печени - V,
Vl, Vll, Vlll,
Учасmки нормальной паренхuмы печени uмеюm плоmносmь до 95-109 HU (сходные с
паренхuмой селезенки), а гuподенсивные учасmки до 87,95 HU,
Оmсроченная фаза (5 Muн),
В оmсроченную фазу на фоне вымываюшегося пула КВ uз паренхuмы печенu по-
прежнему оmмечаюmся гuподенсuвные учасmки оmчеmливо оmделяющuхся на фоне гuперденсuвной паренхuмы с показаmелями накопленuя КВ до уровня 74 - 83 HU
(плоmносmь паренхuмы селезенки дo 65 - 68 HU) со слегка неравномерным пяmнuсmым рuсунком паренхuмы печени за счеm жuровой mкани с мелкuми кисmозными элеменmамu.
3аключенuе: Аномалuя развumuя сосудов аорmы на супрареналъном уровне.Аномалuя развumuя печенu.
Аберранmное кровОснабженuе печенu, Аберранmная правая желудочная арmерuя.
Добавочная правая желудочная арmерuя,
Оmсуmсmвuе левой веmви вороmной вены.
гuпоплазuя левой доли печенu. аплазuя хвосmаmой доли печенu.
Фокалъный жuровой сmеаmоз, преuмущесmвенно за счеm аномального кровоснабженuя печени.
В 2011 году были сданы анализы крови на гепатиты:
Альфа-фетопротеин (АФП ) 3,4 МЕ/мл Референтные
значения 0,5 - 5,5
церулоплазмин 354,9мг/л Референтные
значения 200-600
трансферрин(насыщение железом) 37,9% Референтные
значения 20-55
ферритин 92,2 нг/мл Референтные
значения 28-397
определение ДНК вируса гепатита В,
качеств. ПОЛОЖИТЕЛЬНЫЙ
определение РНК вируса гепатита С,
качеств. отрицательный
определение РНК вируса гепатитаD,
качеств. отрицательный
определение ДНК вируса гепатита В,
количественное 1 ,20*103 копий/мл
Анализ крови на маркеры вирусных гепатитов:
1. Вирусный гепатит А
anti-HAV отрицат.
2.Вирусный гепатит В
HBsAg положит.
anti-HBs отриц.
anti-HBс положит.
anti-HBс IgM отрицат.
3. Вирусный гепатит С
anti-HCV отриц.
4. Вирусный гепатит D
anti-HDV отриц.
анализ крови:
HB 168г/л
тромбоциты 312 тыс.
эритроциты 5,61 10 в 12 степени/л
лейкоцитов 6,7 10 в 9 степени/л
э-2, с/я-60 , л-22, м-16 соэ-6 мм/ч.
биохимический анализ крови:
билирубин-40,34мкмоль/л
АЛТ-67 ед/л
АСТ-33 ед/л
ЩФ-230 ед/л
ГПТ-70 г/л
протеины-70 г/л
альбумины-45,5 г/л
глюкоза-4,7 мл/л
креатинин-103 мкм/л
мочевина-5,8 мм/л
холестерин-5,96 мм/л
протромб. время-20
Принимал по назначению врача фосфоглив 1 курс. Больше никакого лечения и обследования до апреля 2016 года не проходил.
В апреле 2016 года пршел обследование:
Биохимия:
Альбумин -48 г\л
Аланинаминотрансфераза (АЛТ)-24,9 Ед/л
Аспартатам инотрансфераза (АСТ)- 24,4 Ед/л
Гамма-ГТ- 146+ Ед/л
Фосфатаза щелочная - 85 Ед/л
билирубин общий- 36,2+мкм/л
АФП( герминомы яичек, опухоли яичников. печени)-3,1
ПЦР - диагностика:
Вирусный гепатит В-кач. .ДНК обнаружена !!!
Вирус гепатита В - колич. 7.9х10*2 копий/мл
Вирус гепатита D кач- РНК не обнаружена
Серология:
Гепатит В Hbe Ag отрицательный
HBsAg (колич.) -1835,84 МЕ/л
HBsAg (подтверждающий) - положительный
Общий анализ крови:
HB г/л - 142 22.04.16
- 133 27.04.16
эритроциты- 3.86
3.73
тромбоциты- 187
272
лейкоциты -9,3
7
П\я- 0
2
С\я -66
52
э -1
3
л -26
38
м -7
5
СОЭ -10
9
Биохимия:
АЛТ-31 22.04.16
36 18.04.16
АСТ-29
29
Билирубин общ. 29,4
25
Билирубин прямой 7,67
6,9
ЩФ 203
ГГТП 100
Белок 64
Альбумин 45,6
Холестерин 4,39
Глюкоза 5,3
Креатинин 80
Мочевина 4,9
Амилаза 79
Кровь на маркеры вирусных гепатитов от 22.04.16
Вирусный гепатит А
Anti-HAV положит.
Вирусный гепатит В
HBsAg положит.
Вирусный гепатит С
Anti- HCV отриц.
Вирусный гепатит D
Anti-HDV отриц.
фиброскан (эластометрия) 24,8(Kpa)F4
Дуплексное исследование сосудов печени и селезёнки:
Печень: Правая доля 1ЗЗ мм, визуализация левой доли затруднена. Размеры не увеличены.
Эхогенность печени диффузно повышена.
Структура однородная, мелкозернистая.
Края ocтpыe.
Звукопоглащение снижено.
Сосудистый рисунок усилен,
Желчные протоки не расширены. Холедох 4 мм.
Желчный пузырь: размеры 60 х 25 мм, не увеличен.
Форма - овальная.
Стенка утолщена" уплотнена - 4 мм.
Содержимое однородное.
Конкременты не определяются,
Селзенка: рaзмеры 95 х 50 мм. не увеличена.
Cтруктypa однородная.
Эхогенность средняя.
Свободная жидкость в брюшной полости не выявляется.
Лимфоузлы не визуализируются
Воротная вена расширена до 15 мм, ЛСК 28 см/с. кровоток гепатопетальный. визуализируется
коллатерали в области ворот печени с извитым ходом.
печеночные вены - 9-10 мм, не расширены, ЛСК 24 cм/c.
Нижняя полая вена - 19 мм, не расширена, ЛСК З0 см/с.
Селезёночная вена - 7 мм, не расширена, ЛСК 22 cм/c.
Вены проходимы, кровоток фазный, синхронизированный с дыханием. Признаков тромбоза вен не выявлено.
Брюшная аорта - 19 мм, проходима, не расширена, ЛСК 1 10 см/с, кровоток магистральный.
Чревный ствол не визуализизируется.
Общая печёночная артерия - 5.0 мм. ЛСК 115 см/с.
Селзёночная артерия * 5,5 мм, ЛСК 85 см/с.
Стенки артерий не утолщены, проходимость сохранена, кровоток ламинарный. Признаков
экстравазальной компрессии сосудов не выявлено.
Заключение: Диффузные изменения в паренхиме печени. Гипоплазия левой доли печени
Узи признаки портальной гипертензии.
Видеогастроскопия:
Пищевод : Свободно проходим, просвет не изменен, стенки эластичные.
Слизистая розовая, гладкая, блестящая, налета нет.
Варикозные вены - нет.
Кардиальная розетка сомкнута полностью, рефлюкса желудочного содержимого нет.
Желудок: Среднего объема, содержит около 40 мл. слизистого секрета.
Складки среднего калибра. Перистальтика глубокая.
слизистая умеренно гиперемирована, отечна, желудочные поля выражены.
Рельеф ровный. Слизистая истончена и атрофична в виде очагов.
привратник: сокращен, округлой формы, проходим свободно, рефлюкса желчи нет,
луковица ДПК: не деформирована, среднего объёма. Слизистая розовая, тусклая, несколько разрыхлена.
БДС : при осмотре торцевыМ эндоскопом не визуализируется, Продольная складка не изменена. На стенках
изменения по типу "манной крупы"
Биопсия : не взята
3аключение : Очаговый атрофический гастрит, косвенные признаки патологии
гепатопанкреатодуоденальной зоны
Помогите разобраться с моей ситуацией. Согласно фиброскану, у меня фиброз 4 степени и признаки цирроза. Посоветуйте пожалуйста, что мне делать.
Популярные статьи на тему: лечение желчного
Желчный рефлюкс – синдром, довольно часто сопровождающий такие распространенные заболевания верхних отделов пищеварительного канала, как функциональные диспепсии, гастроэзофагеальную рефлюксную болезнь (ГЭРБ), хронические гастриты...
Функциональная диспепсия – симптомокомплекс функциональных нарушений, включающий в себя боли или ощущение дискомфорта в эпигастральной области.
Весной 2005 г. в Институте терапии им. Л.Т. Малой АМН Украины состоялась научно-практическая конференция «Терапевтические чтения: алгоритмы современной диагностики и лечения внутренних болезней».
В рамках проведенной в начале октября научно-практической конференции «Дни гастроэнтерологии в Киеве» состоялась сессия «Современные аспекты диагностики и лечения холестаза» при поддержке фармацевтической фирмы «Др. Фальк Фарма», на которой было...
Окончание. Начало в № 74. Лечение опухоли большого сосочка двенадцатиперстной кишки представляет собой одну из сложнейших и до конца не решенных проблем в хирургии и онкологии. Несмотря на длительную историю этого вопроса, до сих пор остаются...
Криохирургические методы лечения неоперабельных опухолей органов брюшной полости. Начало. Методика выполнения криогенной деструкции гемангиом печени не отличается от криогенной деструкции первичных опухолевых процессов, описанных выше. В трех случаях,...
Проблема кислотозависимых заболеваний сегодня приобретает все большую актуальность, что связано со значительной распространенностью данной патологии, низкой выявляемостью и часто неадекватным лечением. Этим и другим вопросам была посвящена...
Среди хронических заболеваний органов пищеварения, распространенность которых в последние годы неуклонно растет во всем мире.
Одним из парадоксов современной гастроэнтерологии является тот факт, что значительный прогресс в понимании механизмов развития, оптимизации диагностики и лечения достигнут относительно тех нозологий, которые менее распространены, но представляют большую..
Новости на тему: лечение желчного
Операция по удалению желчного пузыря из-за развития в нем камней является одной из наиболее распространенных. Однако результаты этого рутинного вмешательства, которое было выполнено жительнице Индии, оказались полной неожиданностью для хирургов.
Печень является главной фабрикой нашего организма: с желчью выводятся продукты обмена веществ, «остатки» принятых лекарств, и полезные составляющие, участвующие в переваривании пищи. Однако очень главный «резервуар» для хранения желчи - желчный пузырь, не справляется с нагрузкой. Застой желчи может привести к образованию камней в желчном пузыре.
Согласно результатам исследования, опубликованного в Международном Журнале Рака, возможно, рак внепеченочных желчных путей (ВПЖП) связан с вирусом гепатита В (ВГБ), который увеличивает риск развития этого заболевания
Согласно результатам недавнего исследования, производные желчной кислоты могут превращаться в рецепторы витамина Д без интенсивного образования кальция. Полученные данные помогут разработать новый метод терапии, необходимый для лечения различных заболеваний костного скелета и кожи
Семена расторопши пятнистой издавна используются в народной медицине для лечения болезней печени и желчного пузыря. А немецкие ученые обнаружили новые лечебные свойства компонентов семян расторопши, которые оказались эффективны при опухолях гипофиза.
История массового применения бариатрической хирурги насчитывает уже более 2-х десятилетий. Накоплен значительный статистический материал по эффективности разных методов бариатрии и их безопасности, который тщательно проанализировали ученые из США.
На Востоке давно знали о целебных свойствах куркумы: добавка куркумы к пище способствует выработке желчи и желудочного сока, является средством, повышающим аппетит. В народной медицине Индии куркуму применяли при заболеваниях печени и желчного пузыря, почек, а также как желудочное средство, улучшающее пищеварение и повышающее аппетит. Содержащийся в восточной пряности куркумин также регулирует уровень холестерина в крови. Кроме того, куркумин является мощным средством защиты печени от воспалительных заболеваний, часто приводящих к грозному циррозу. А британские исследователи обнаружили, что куркумин повышает чувствительность клеток злокачественных опухолей кишечника к химиотерапии.
Оперируя тяжело раненного солдата прямо на поле боя в Афганистане, американские военно-полевые хирурги спасли ему жизнь, но были вынуждены почти полностью удалить поджелудочную железу, что обрекало несчастного всю жизнь страдать от тяжелого диабета 1-го типа. Однако вскоре, уже в США, в госпитале, врачи смогли пересадить пациенту клетки островков Лангерганса его же собственной поджелудочной железы. Сейчас диабет солдату больше не грозит, а придуманная хирургами прямо на ходу операция – импровизированная трансплантация – возможно, вскоре станет новым методом лечения диабета.
Новый минимально инвазивный метод лечения опухолей печени, так называемая микроволновая абляция, введен для широкого использования в двух госпиталях Калифорнийского университета – Медицинском центре колледжа в Сан-Диего и Центре рака Moores
