Проблема хронічного тонзиліту, попри свою давнину, залишається актуальною і в наш час, перетворившись із суто оториноларингологічної на клініко-імунологічну, а навіть і на загальнобіологічну. Це пов’язано не тільки із широким розповсюдженням цього захворювання, але й з набуттям нових знань про ту роль, яку виконують піднебінні мигдалики в організмі, появою нових уявлень про патогенез хвороби [12].
Згідно з класифікацією розрізняють специфічний та неспецифічний хронічний тонзиліт. Специфічний хронічний тонзиліт являє собою ураження мигдаликів інфекційними гранульомами (туберкульоз, сифіліс, склерома) й належить до цих нозологій. Хронічний неспецифічний тонзиліт – інфекційно-алергійне захворювання з місцевими проявами у вигляді стійкої запальної реакції піднебінних мигдаликів, що морфологічно виражається альтерацією, ексудацією та проліферацією.
Хронічний неспецифічний тонзиліт є мультидисциплінарною проблемою клінічної медицини й має важливе значення в клініці внутрішніх та дитячих хвороб.
Актуальність цієї проблеми зумовлена передусім високою частотою захворюваності: за даними різних авторів, від 2 до 15% усього населення хворіє на хронічний тонзиліт, в Україні цей показник сягає 1260 на 10 тис. населення. Водночас із хронічним тонзилітом пов'язане виникнення і погіршення перебігу багатьох захворювань, насамперед серцево-судинної системи (ревматизм), нирок, суглобів, тиреотоксикоз [2, 11].
Етіологія. Домінуюче значення у виникненні хронічного тонзиліту має асоціація β-гемолітичного стрептокока групи А, стафілокока й аденовірусів, але найчастіше причиною цієї патології є саме стрептокок.
Розглядаючи патогенез хронічного тонзиліту, необхідно зупинитися на деяких аспектах анатомії та фізіології лімфаденоїдного глоткового кільця, до якого, власне, й належать піднебінні мигдалики, що є субстратом для хронічного тонзиліту.
Лімфаденоїдне глоткове кільце представлене значними скупченнями лімфаденоїдної тканини (мигдаликами), її невеликими острівцями та тяжами, розташованими в глотці, гортані, порожнині носа. Піднебінні, глотковий, язиковий та трубні мигдалики – найбільш значні та постійні компоненти лімфаденоїдного глоткового кільця. Всі скупчення лімфаденоїдної тканини в глотці пов'язані між собою.
Мигдалики належать до лімфоепітеліальних утворень, до яких також відносять пейєрові бляшки, солітарні фолікули та апендикс. Всі ці утворення становлять лімфоепітеліальний комплекс або MALT (mucosal associated lymphoid tissue), тобто лімфоїдну тканину, асоційовану зі слизовою оболонкою. Характерним для лімфоепітеліальних утворень є їх розташування на межі зовнішнього та внутрішнього середовищ. Окрім того, вони є вхідними воротами для мікробних агентів і забезпечують первинний контакт антигену з лімфоцитами. Таким чином, імунокомпетентні органи отримують інформацію щодо антигенів, що потрапили до організму при диханні та прийомі їжі.
Піднебінні мигдалики (tonsillae раlаtіnае) розташовані в тонзилярній ніші, що знаходиться по обидва боки від отвору зіву між піднебінно-язиковою і піднебінно-глотковою дужками, у товщі яких містяться однойменні м'язи.
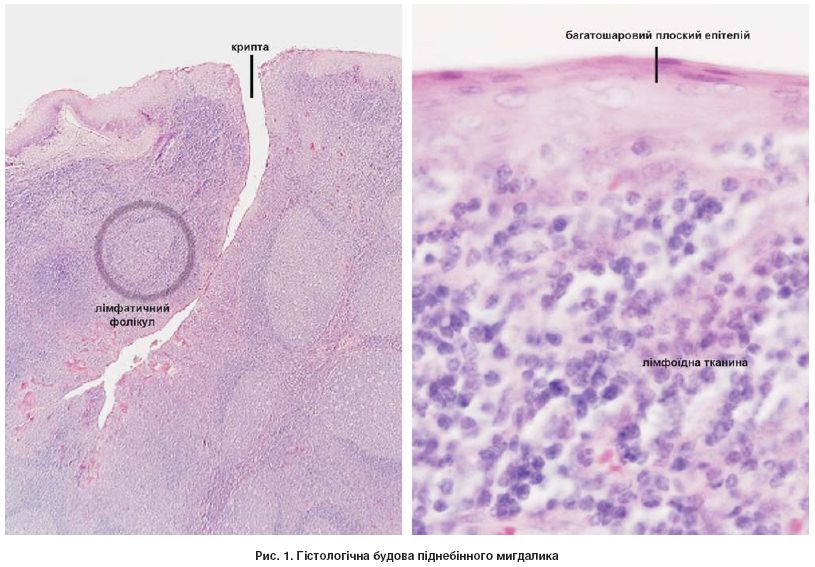
У мигдалику розрізняють верхній та нижній полюси, зовнішню та внутрішню поверхні. На внутрішній поверхні мигдалика, поверненої в порожнину ротоглотки, є отвори, що ведуть у сліпі канали – лакуни або крипти. Звичайно в мигдалику 12-20 крипт – вузьких, довгих, звивистих щілин, напрямок і величина яких дуже мінливі. В нормі вміст у лакунах, що є джерелом антигенної інформації, не затримується довго й постійно поновлюється. Велика глибина та звивистість крипт сприяють затримці та гнійному розпадові вмісту крипт, утворенню ретенційних кіст, що є вогнищем латентної інфекції. Устя крипт бувають різної форми та розмірів, причому їх розширення характерне для хронічного запалення мигдаликів [16].
Велика глибина та звивистість лакун різко збільшують площу зіткнення антигенів і лімфаденоїдної тканини. Загальна площа поверхні одного мигдалика, включаючи систему крипт, досягає 300 см2, тоді як площа слизової оболонки всієї глотки – 45 см2 [22]. Така велика площа поверхні мигдалика дозволяє підвищити ефективність імунних реакцій у відповідь на дію патогенних агентів за умови, що контакт агентів та лімфоцитів відбувається по всій площі мигдалика, тобто й у глибині лакун.
У піднебінних мигдалинах розрізняють капсулу, строму, паренхіму й епітеліальний покрив. Капсула покриває лише зовнішню поверхню мигдалика, тому називається псевдокапсулою, і представлена великою кількістю сполучнотканинних волокон. Строма піднебінних мигдаликів представлена септотяжами або трабекулами, котрі відходять від капсули. Основу паренхіми становить пухка аденоїдна, або ретикулярна, тканина, що має характер синцитію й побудована із зірчастих ретикулярних клітин, їх відростків та аргірофільних ретикулінових волокон. У петлях цієї сітки закладені поодинокі лімфоцити, а також їх кулясті скупчення – фолікули, що розташовуються в один ряд по ходу крипт. Крім невеликих фолікулів є численні великі «вторинні» фолікули, що досягають 1-2 мм у діаметрі (рис. 1). У паренхімі мигдаликів постійно виявляють плазматичні та гістіоцитарні клітини [17].
Поверхня піднебінних мигдаликів вистелена багатошаровим плоским епітелієм. Лімфоцити, просуваючись по епітелію, випинають його у просвіт крипти, стоншують і розсовують клітини, в результаті чого утворюються міжклітинні щілини різної величини. У просвіт крипти виходять лімфоцити й окремі клітини покривного епітелію.
Встановлено, що мигдалики мають складний нервовий апарат, до складу якого входять різні елементи аферентної та еферентної іннервації [18].
Відповідно до сучасних уявлень, мигдалики виконують три функції: імунну (або захисну), кровотворну та рецепторну (або нервово-рефлекторну).
Імунна (захисна) функція мигдаликів. Особливість розташування лімфаденоїдного глоткового кільця дозволяє антигенам безпосередньо впливати на тканини мигдаликів, викликаючи імунну відповідь. Таким чином, лімфаденоїдне глоткове кільце є аванпостом імунної системи, з якого починається реалізація реакцій клітинного та гуморального імунітету. Мигдалики відіграють важливу роль у формуванні як місцевих, так і системних захисних реакцій організму у відповідь на впливи бактерій і вірусів.
У формуванні місцевого імунітету беруть участь система мононуклеарних фагоцитів, система комплементу, білки гострої фази, інтерферон, лізоцим, цитокіни, що продукуються мигдаликами та надходять у порожнину рота через оральну поверхню мигдалин. Фагоцитоз у мигдаликах добре виражений [8, 12].
Формування системного імунітету та антигенного гомеостазу забезпечує інформаційна функція мигдаликів, завдяки якій здійснюються продукція антитіл та формування клітин імунної пам'яті. Синтез антитіл лімфоїдними елементами піднебінних мигдаликів має значення також у місцевому імунологічному захисті порожнини рота й верхнього відділу дихального тракту.
Для повноцінного функціонування мигдаликів як частини імунної системи необхідне повне та своєчасне звільнення крипт із подальшим надходженням нових порцій антигенів з ротоглотки на всю глибину крипт. Це відбувається за рахунок скорочення м'язів, закладених у передній і задній піднебінних дужках (mm. palatoglossus et palatopharyngeus), та констрикторів глотки. Скорочення цих м'язів при ковтанні, позіханні, говорінні приводить до зменшення об'єму тонзилярної ніші й підвищення в ній тиску. Мигдалик затискається між дужками, вміст лакун видавлюється у просвіт ротоглотки, і крипти звільняються. При розслабленні цих м'язів тонзилярна ніша збільшується, мигдалик розправляється, у криптах утворюється від'ємний відносно атмосферного тиск, у крипти засмоктуються мікроорганізми з мікрочастинками їжі та повітрям. Цей процес повторюється при кожному скороченні дужок. Механізм звільнення лакун і наступного засмоктування антигенів за рахунок скорочення м'язів глотки вперше описаний нами й названий помповим механізмом піднебінних мигдаликів, який забезпечує їх інформаційну функцію на всій поверхні мигдаликів [14].
Цим механізмом зумовлене й відкриття внутрішньоепітеліальних ходів, що містять значну кількість лімфоцитів та макрофагів, унаслідок відхилення подушкоподібних клітин-клапанів, і міграція лімфоцитів у внутрішньоепітеліальні ходи з поверненням у міжфолікулярну тканину. Помповий механізм є механічним процесом, що забезпечує подачу антигенів до імунного апарату мигдаликів. Розлад помпового механізму призводить до порушення імунних процесів у мигдаликах.
Кровотворна функція мигдаликів полягає в розмноженні Т- і В-лімфоцитів, які потрапляють із центральних органів, формуванні лімфоцитів з їхніх попередників, спеціалізації лімфоцитів у ефекторні клітини, що здійснюють імунний захист. Новоутворені лімфоцити через лімфатичні судини проникають у кровоносну систему, частина з них мігрує через епітеліальний покрив мигдаликів.
Рецепторна (нервово-рефлекторна) функція мигдаликів полягає в наявності рефлекторних зв'язків мигдаликів із серцем, нирками, печінкою та іншими внутрішніми органами. Також доведена рецепторна функція інших лімфоїдних органів. Ці рефлекси належать до фізіологічних і виконують захисну функцію, змінюючи функціонування внутрішніх органів. Зокрема, про це свідчить розвиток гострого апендициту як ускладнення ангіни або безпосередньо після тонзилектомії. У свою чергу первинне виникнення гострого апендициту викликає реактивні зміни у мигдаликах. Також можливий розвиток ожиріння у дітей після тонзилектомії, переважно за наявності у них хронічних супутніх захворювань. У мигдаликах цих дітей відмічаються підвищення вмісту фосфоліпідів та наявність їх фракцій, характерних для патологічних станів [13].
Патогенез. Формування хронічного запального вогнища в мигдаликах та розвиток тонзилогенних процесів в організмі відбуваються в результаті тривалої взаємодії інфекційного агента і макроорганізму. При цьому важливу роль відіграє стан імунітету. Пусковим моментом є порушення помпового механізму мигдаликів, що забезпечує самоочищення мигдаликів. Порушується звільнення лакун від їх вмісту, що накопичується у надлишковій кількості. Лакуни кістозно розширюються, дренаж їх порушується, в них утворюються гній, казеозні маси у вигляді пробок (рис. 2). Це призводить до тривалого контакту інфекційного агента з макроорганізмом, формування хронічного вогнища інфекції в лімфаденоїдній тканині та алергізації організму. Крім того, при хронічному тонзиліті виникає гіперплазія мигдаликів, яка супроводжується збільшенням кількості фолікулів та об'єму мигдаликів у цілому, що викликає стискання вузьких розгалужених лакун і затримку їх вмісту. Мигдалики ущільнюються і потребують більшої сили скорочення дужок для повного спорожнення крипт. Однак стовщені гіперемовані дужки неспроможні забезпечити повноцінне функціонування помпового механізму мигдаликів. Істотне значення має вплив лакунарного вмісту на тканину мигдаликів, їх перилакунарні нервові сплетення і хеморецептори, розташовані в підепітеліальному шарі лакун.
Вирішальними в реалізації мікробних факторів у вигляді хронічного тонзиліту є зміни загальної та місцевої реактивності організму, алергічний стан, що може бути наслідком хронічного тонзиліту або передувати йому.
Зниження реактивності організму спричиняють такі фактори: загальне та місцеве переохолодження; нераціональне харчування; несприятливі умови праці й відпочинку; інші вогнища хронічної інфекції – каріозні зуби, пародонтоз, хронічні синуїти, аденоїдит, які призводять до потрапляння бактерій у мигдалики з вогнища інфекції, а також до виникнення регіонарного лімфаденіту з порушенням відтоку лімфи з мигдаликів; порушення носового дихання – аденоїди, викривлення носової перегородки, хронічні риніти.
Імунні комплекси антиген–антитіло активують протеолітичну здатність ферментів макрофагів, що призводить до лізису тканини мигдаликів і денатурації власних тканинних білків, результатом чого може бути розвиток аутоімунних процесів. Піднебінні мигдалики стають місцем перманентної сенсибілізації. При хронічному тонзиліті спостерігається сенсибілізація вповільненого типу до антигенів стрептокока і стафілокока, тобто мікробів, що найбільш часто вегетують у лакунах піднебінних мигдаликів. Загальна неспецифічна сенсибілізація пригнічує імунну відповідь піднебінних мигдаликів, а відтак може впливати на перебіг хронічного тонзиліту.
При хронічному тонзиліті токсичний вплив мікроорганізмів зумовлює пригнічення активності окислювально-відновних процесів у мигдаликах, які відбуваються за участю ферментів сукцинатдегідрогенази та цитохромоксидази, гіалуронідази, ацетилхолінестерази, лужної фосфотази, церулоплазміну. Недостатність цих ферментних систем, що призводить до гіпоксії мигдалин, визначається не тільки лабораторними методами, але й має клінічні прояви у вигляді полігіповітамінозу.
При хронічному тонзиліті також відбувається порушення гомеостазу мигдаликів за рахунок деструкції мембран лімфоцитів, що проявляється різноспрямованими змінами спектру жирних кислот, котрі є субстратом перекисного окислення ліпідів. Так, при хронічному тонзиліті відмічається зростання рівня арахідонової кислоти в 11 разів з одночасним зниженням ліноленової в 16 разів, пальмітинової та лінолевої у 2 рази. Це призводить до значного підвищення інтенсивності процесів ліпопероксидації в мигдаликах. Паралельно відбувається зниження активності факторів антиоксидантного захисту – ферментів каталази та супероксиддисмутази [21].
Хронічний тонзиліт супроводжується значним нагромадженням (збільшення на 60%) внутрішньоклітинного кальцію в лімфоцитах мигдаликів, який є фактором апоптозу та призводить до швидкої загибелі клітини [23]. У мигдаликах різко зменшується функціональна спроможність Т- і В-лімфоцитів, що також призводить до зниження активності місцевого імунітету [19, 20]. Значних змін зазнає гіпоталамо-гіпофізарно-наднирникова система – найважливіша ланка адаптаційно-трофічних та захисних реакцій організму. Встановлено, що при тривалому й стійкому перебігу захворювання знижується глюкокортикоїдна функція надниркових залоз, підвищується виділення адреналіну й зменшується виділення норадреналіну. У патологічний процес втягується нервовий апарат мигдаликів. Патологічні зміни нервових елементів призводять до спотворення рецепторної функції мигдаликів та їх нервово-рефлекторного зв'язку з деякими внутрішніми органами, зокрема із серцем. Впливаючи на трофіку лімфаденоїдної тканини, зміни нервового апарату посилюють викликані хронічним запаленням структурні та функціональні порушення мигдаликів, що спричиняє послаблення їхньої бар'єрної ролі та розвиток стану декомпенсації.
Патологічна анатомія. Морфологічні зміни при хронічному тонзиліті виявляються в різних компонентах піднебінних мигдаликів і загалом відповідають стадіям розвитку захворювання: десквамація або зроговіння епітелію лакун і ураження найближчих ділянок паренхіми характеризують початкову стадію розвитку процесу – хронічний лакунарний та лакунарно-паренхіматозний тонзиліт; активна альтерація, утворення запальних інфільтратів у паренхімі свідчать про стадію хронічного паренхіматозного тонзиліту; посилене розростання сполучної тканини характерне для останньої стадії хронічного паренхіматозного склеротичного тонзиліту – виникає склероз стінок судин і периваскулярної тканини, ендо- та периартеріїт із проліферацією ендотелію. Лакуни кістозно розширені. У їх просвіті застоюються рідкий гній і гомогенна зроговіла маса, що містить лімфоцити, злущений епітелій та колонії бактерій (казеозні пробки). Деякі лакуни втрачають покривний епітелій. У патологічний процес включається нервовий апарат мигдаликів. Його зміни, відрізняючись різноманітністю, частіше бувають зворотними. Серед реактивно змінених нервових закінчень зустрічаються рецептори зі своєрідними ознаками ураження у вигляді «невроми закінчень». На зміни, що відбуваються в мигдаликах, реагують і апудоцити: їх кількість збільшується втричі, з'являються серотонін- та соматостатинпродукуючі клітини, що знижують проліферативну спроможність Т- і В-лімфоцитів [13].
Відповідно до класифікації хронічного тонзиліту І.Б. Солдатова (1975), розрізняють компенсовану та декомпенсовану форми. Ці форми клінічно чітко визначені, трактуються з урахуванням головних факторів ґенезу захворювання – реактивності організму та бар'єрної функції мигдаликів. При компенсованій формі наявні тільки місцеві «глоткові» ознаки хронічного запалення мигдаликів, бар'єрна функція яких і реактивність організму ще такі, що врівноважують, вирівнюють стан місцевого запалення, тобто компенсують його, тому вираженої загальної реакції не виникає. Декомпенсована форма не тільки характеризується місцевими ознаками хронічного запалення мигдаликів, але й комбінується з низкою патологічних станів організму. Прояви декомпенсації можуть бути у вигляді рецидивуючих гострих тонзилітів (ангін) понад 1-2 рази на рік протягом двох і більше років; паратонзилітів, паратонзилярних абсцесів; розвитку поєднаних захворювань віддалених органів і систем, етіологічно та патогенетично пов'язаних із глотковою інфекцією (ревматизм, інші колагенози та системні інфекційні аутоімунні захворювання, гломерулонефрит, тиреотоксикоз, артрит, тонзилогенна інтоксикація, тривалий субфебрилітет та ін.).
В літературі наводяться численні місцеві ознаки хронічного неспецифічного тонзиліту, серед яких найбільш достовірними є: гіперемія та валикоподібне потовщення країв піднебінних дужок (симптоми Гізе та Преображенського); рубцеві спайки між мигдаликами та піднебінними дужками; розпушені або рубцево-змінені й ущільнені мигдалики; казеозно-гнійні пробки або рідкий гній у лакунах мигдаликів; регіонарний лімфаденіт – збільшення защелепних лімфатичних вузлів.
Хронічний тонзиліт діагностують за наявності двох і більше перерахованих місцевих ознак. При цьому потрібно враховувати, що підщелепні лімфатичні вузли не є регіонарними для піднебінних мигдаликів й великий розмір піднебінних мигдаликів не є ознакою хронічного тонзиліту, а лише свідчить про їх гіпертрофію. Фарингоскопічну картину необхідно оцінювати на тлі відносного здоров'я, поза ознаками загострення або не раніше ніж за 2-3 тижні після ангіни.
Важливою особливістю розглянутої класифікації є принцип формулювання діагнозу хронічного тонзиліту: необхідно вказувати не лише клінічну форму захворювання, але й конкретний вид (види) декомпенсації. Приклади формулювання діагнозу: хронічний тонзиліт, компенсована форма; хронічний тонзиліт, декомпенсована форма – рецидиви ангін; хронічний тонзиліт, декомпенсована форма – рецидиви ангін, тиреотоксикоз; хронічний тонзиліт, декомпенсована форма – рецидиви ангін, ревматизм.
Як видно з наведених прикладів формулювання діагнозу, враховуються конкретні, нерідко різноманітні види декомпенсації, у тому числі захворювання, пов'язані з хронічним тонзилітом. При цьому аж ніяк не применшуються самостійність і значення цих хвороб, вони наводяться лише для найбільш повної характеристики клінічної форми хронічного тонзиліту.
Діагностика. Діагностика хронічного неспецифічного тонзиліту, як правило, не викликає труднощів. Наявності місцевих ознак хронічного запалення піднебінних мигдаликів достатньо для встановлення діагнозу компенсованої форми хронічного тонзиліту.
В сумнівних випадках діагноз підтверджується результатами вивчення вмісту лакун і відбитків з поверхні мигдаликів: виявляються патогенна флора, зниження фагоцитарної активності лейкоцитів, збільшення числа поліморфноядерних та поява дегенеративних форм лейкоцитів, зменшення кількості лімфоцитів. Діагностичне значення, особливо в дітей, мають гіпохромна анемія, нейтрофільний лейкоцитоз, моноцитопенія, лейкопенія, підвищення ШОЕ, зміна імунологічних показників сироватки крові (зниження рівня імуноглобулінів, титрів антистрептококових антитіл, комплементу, пропердину та ін.). Аналіз крові хворих на хронічний тонзиліт з різними видами декомпенсації порівняно з кров'ю здорових осіб виявляє дисбаланс в їхньому імунному статусі: перерозподіл у вмісті Т- і В-лімфоцитів та їх субпопуляцій, наявність циркулюючих імунних комплексів, сенсибілізація гранулоцитів до бактеріальних алергенів. Окрім того, у таких хворих аналізують функціонування системи гемостазу та факторів неспецифічної реактивності, а також проводять дослідження із застосуванням інструментальних методів (ЕКГ, ФКГ, ПКГ). У диференційній діагностиці клінічних форм хронічного тонзиліту та видів його декомпенсації можливе дослідження функціонального стану судинної системи мигдаликів за допомогою реографії-реотонзилографії [18].
Лікування. При виборі методу лікування хронічного тонзиліту враховують його клінічну форму і, якщо вона декомпенсована, – види декомпенсації. Перед початком терапії проводять санацію порожнини рота. Лікування хронічного тонзиліту може бути консервативним, напівхірургічним та хірургічним.
Консервативне лікування показане при компенсованій формі, а також при декомпенсованій, що проявляється рецидивами ангін. Також до нього вдаються за наявності протипоказань для хірургічного втручання.
Засоби консервативного лікування за характером їхньої основної дії можуть бути згруповані в такий спосіб.
1. Засоби, що сприяють підвищенню природної резистентності організму: правильний режим дня, раціональне харчування, що передбачає вживання достатньої кількості вітамінів, загартовування, курортно-кліматичне лікування, тканинна терапія, застосування g-глобуліну, препаратів заліза, медикаментозних засобів загальної дії (імудон, IRS-19, рибомуніл, бронхомунал, тонзилгон Н, умкалор, тонзилотрен, тонзипрет, інфлюцид, т-активін, левамізол, дібазол, продигіозан, тималін, тимозин, елеутерокок, ехінацея).
2. Гіпосенсибілізуючі засоби: препарати кальцію, аскорбінова кислота, S-амінокапронова кислота, антигістамінні препарати, низькі дози алергенів.
3. Засоби, спрямовані на корекцію метаболічних порушень у мигдаликах (триметазидин, токоферол, аскорбінова кислота, унітіол, кверцетин).
4. Засоби, що чинять місцевий сануючий вплив на піднебінні мигдалики та їх регіонарні лімфатичні вузли:
а) на слизову оболонку глотки і піднебінних мигдаликів (полоскання, зрошення, змазування розчинами Люголя, хлорофіліпту, інгаляції);
б) на лакуни (відсмоктування вмісту, промивання лакун канюлею зі шприцом або гідровакуумним методом переважно розчинами антисептичних речовин, зокрема антибіотиків, уведення в лакуни лікарських паст – лікувальне пломбування);
в) на паренхіму мигдаликів (інтра- та паратонзилярні ін'єкції антибіотиків).
5. Засоби, що відновлюють природне самоочищення мигдаликів (нормалізація помпового механізму) – електроміостимуляція м'язів піднебінних дужок.
6. Фізіотерапія: інгаляції та аерозолі антибіотиків, фітонцидів; ультрафіолетове опромінення; ультразвукове озвучування мигдаликів; ультрафонофорез інтерферону, лізоциму гідрокортизону; УВЧ, СВЧ, «Луч-2» на защелепні лімфовузли; опромінення мигдаликів гелій-неоновим лазером; солюкс; грязелікування; вплив електромагнітним полем тощо.
7. Засоби рефлекторного впливу: новокаїнові блокади, голкорефлексотерапія, ультрафіолетове опромінення шиї та ін.
У комплекс курсового лікування варто включати препарати, що застосовуються у складі різних видів терапії та впливають на багато ланок патологічного процесу.
Найбільш поширеним видом консервативного лікування хронічного тонзиліту є промивання лакун мигдаликів, запропоноване М.В. Бєлоголововим. Промивання лакун може бути також корисним діагностичним методом при з'ясуванні ролі мигдаликів у ґенезі того або іншого захворювання, особливо коли зв'язок останнього зі станом мигдаликів викликає сумніви. Для промивання лакун використовують тонку канюлю (краще із заокругленим кінцем з кількома отворами) і шприц. Застосовують антисептичні розчини різних протимікробних (пеніцилін, фурацилін, сульфацил-натрій, етакридину лактат, діоксидин, йодинол, калію перманганат, мірамістин), а також імуностимулювальних (левамізол, інтерферон, лізоцим, дібазол) засобів. Промивання проводять через день, на курс 10-12 процедур. Більш сучасним та ефективним є гідровакуумний метод – відсмоктування вмісту лакун, що може бути здійснене за допомогою вакуум-ковпачка, з'єднаного одним кінцем з електровідсмоктувачем, а іншим – з розчином лікарського засобу. Одночасно виконують аспірацію патологічного вмісту з усіх лакун і впливають на них лікарською речовиною. Паралельно можна проводити озвучування мигдаликів за допомогою ультразвуку.
Місцеве застосування імуномодуляторів (левомізол, препарати вилочкової залози – тималін, тимоген, т-активін, вілозен) дозволяє створити у вогнищі запалення більш ефективні концентрації препарату й виключає непотрібне тотальне стимулювання імунної системи [3, 9]. Доцільним є одночасне застосування цих препаратів та електромагнітного поля, що викликає значні зсуви у функціональній активності імунітету [10].
Ефективні інтра- та паратонзилярне введення 1% розчину трипсину, ін'єкції антибіотиків (з урахуванням чутливості до них мікрофлори), для чого частіше використовують розчин пеніциліну. Можливе одночасне застосування сорбентів та пірамідину [3].
Ефективним способом лікування хронічного тонзиліту (компенсованої форми і декомпенсації у вигляді рецидивів ангін та тонзилогенної інтоксикації) зарекомендувало себе комбіноване використання електростимуляції mm. palatoglossus et palatopharyngeus, спрямованої на відновлення помпового механізму мигдаликів, та виконання медикаментозної корекції порушень процесів ліпопероксидації. Паралельно з проведенням 10-12 сеансів електростимуляції призначають комплекс антиоксидантів (аскорбінової кислоти, токоферолу, унітіолу) або триметазидин (стабілізатор вуглеводного й ліпідного метаболізму, блокатор вільнорадикального окислення). Ефективність цього методу доведена за допомогою електроміографії вказаних м'язів [15].
Курси консервативної терапії проводять двічі на рік, зазвичай навесні та восени. При частих рецидивах ангін кількість курсів може бути збільшена до 4 на рік. Ефективність комплексної консервативної терапії сягає 71-85%.
У разі неефективності консервативного лікування застосовують напівхірургічні методи: кріотонзилектомію, гальваноакустику, діатермокоагуляцію мигдаликів, кріовплив на них у поєднанні з ультразвуковим впливом, лазерну лакунотомію та деструкцію мигдаликів, вишкрібання лакун [1, 6, 7]. Ці методи показані також при супутніх захворюваннях, що унеможливлюють виконання тонзилектомії. Останнім часом розроблена технологія керованого кріохірургічного лікування пацієнтів із хронічним декомпенсованим тонзилітом з протипоказаннями для тонзилектомії, суть якої полягає в застосуванні ультразвукового контролю ступеня й обсягу кріовпливу, що дозволяє видалити тканину мигдаликів, обмежуючись капсулою, без ушкодження прилеглих тканин [5].
Тонзилотомію (часткове видалення мигдаликів) звичайно роблять дітям при гіпертрофії піднебінних мигдалин.
У цілому напівхірургічні методи є нефізіологічними, оскільки, частково зберігаючи тканину мигдалика, порушують лакунарну систему, помповий механізм, руйнують анатомо-функціональну одиницю мигдалика – криптолімфон та призводять до неможливості функціонування лімфоепітеліального механізму. Після такого втручання лімфаденоїдна тканина не здатна виконувати свої функції.
Хірургічне лікування – тонзилектомія, або повне видалення мигдаликів разом із капсулою, показана при декомпенсації хронічного тонзиліту у вигляді рецидивуючих паратонзилітів та паратонзилярних абсцесів, вираженої тонзилогенної інтоксикації, захворювань віддалених органів і систем. Ця операція рекомендується також хворим, лікування яких іншими консервативними методами виявилося безуспішним. Якщо декомпенсація хронічного тонзиліту проявляється у вигляді ревматизму, тонзилектомію виконують після курсу антиревматичного лікування або в неактивній фазі захворювання. Широко застосовується абсцес-тонзилектомія, тобто видалення мигдаликів (або одного мигдалика на боці ураження) за наявності паратонзилярного абсцесу. Особливо показана абсцес-тонзилектомія у таких випадках: запальна інфільтрація має стійкий перебіг, а набряк поширюється на гортань; при паратонзиліті, що довго триває; при рецидивах абсцесу; при кровотечі під час розкриття абсцесу.
Протипоказаннями для тонзилектомії є гемофілія, виражена серцева та ниркова недостатність, стенокардія, високий ступінь гіпертензії, тяжка форма цукрового діабету, активна форма туберкульозу, гострі інфекційні захворювання, вагітність, період менструації. Хірургічне втручання доцільніше проводити в так званому холодному періоді – не раніше ніж за 2-3 тижні після ангіни.
Операцію виконують у стаціонарі. Тонзилектомію у дітей краще проводити під загальним знеболюванням – ендотрахеальним наркозом. Дорослих зазвичай оперують під місцевим знеболюванням, застосовуючи для інфільтраційної анестезії новокаїн, лідокаїн або ультракаїн.
Після операції хворий отримує протерту та рідку негарячу їжу, йому призначають антибактеріальну терапію. Широко застосовують препарати місцевої дії, котрі містять антибактеріальні компоненти та анальгетики (Біопарокс, Гівалекс, Колустан – у вигляді спреїв; Трахісан, Тонзипрет, Декатилен – у вигляді таблеток, що розсмоктуються). До 4-5-го дня лікарняного режиму тонзилярні ніші очищаються від фібринозного нальоту. Хворого виписують для амбулаторного спостереження в оториноларинголога. Листок непрацездатності видають до повної епітелізації тонзилярних ніш – на 7-10 днів.
Після виписки зі стаціонару протягом місяця проводять медикаментозну терапію (полівітаміни, гіпосенсибілізуючі засоби, імунокоректори). Хворим із функціональними порушеннями серцевої діяльності показана комплексна терапія, спрямована на корекцію процесів метаболізму в міокарді.
До ускладнень тонзилектомії відносять глоткові кровотечі – первинні (виникають під час операції) і вторинні (у післяопераційному періоді). Вторинні кровотечі можуть бути ранні – у 1-у добу після операції, найчастіше в перші 5 годин, та пізні – з 2-ї доби після операції. Кровотечі бувають артеріальними, венозними та паренхіматозними.
При тонзилектомії внаслідок травматизації мигдаликів можливе поширення інфекції контактним або лімфатичним шляхом, що призводить до виникнення запальних процесів у парафарингеальному просторі, корені язика, дні порожнини рота, регіонарних лімфатичних вузлах. Поширення інфекції гематогенним шляхом зумовлює утворення септичних тромбів шийних вен, нагнивання гематом, сепсису з метастазами різної локалізації.
З-поміж інших ускладнень тонзилектомії особливої уваги потребують підшкірна емфізема, пневмонія, абсцес та ателектаз легені, парези окремих нервів або їх гілок (під'язикового, блукаючого, симпатичного), що виникають при їх ушкодженні під час анестезії або грубого хірургічного втручання. Дуже рідкісними, але небезпечними для життя є внутрішньочерепні ускладнення: менінгіт, тромбоз синусів мозкових оболонок, абсцес мозку.
Профілактика тонзилітів проводиться у двох напрямках: підвищення загальної реактивності організму та санація інших вогнищ хронічної інфекції – лікування захворювань ясен, зубів (карієс, пародонтоз), гнійних синуїтів, відновлення порушення носового дихання.
Література
1. Бажора Ю.И. Клинико-иммунологическое обоснование криохирургического лечения хронического тонзиллита: Автореф. дис. … д-ра. мед. наук. – Киев, 1987. – 37 с.
2. Балабанцев А.Г., Богданов В.В., Крылова Т.А. Хронический тонзиллит: актуальная проблема современной медицины // Журнал вушних, носових і горлових хвороб. – 2002. – № 5. – С. 35-36.
3. Бариляк И.Р., Фролов В.М., Петруня A.M. Эффективность энтеросорбентов и пармидина в комплексной терапии детей с хроническим тонзиллитом, подвергшихся радиационному облучению и проживающих в регионе Донбасса // Журнал ушных, носовых и горловых болезней. – 1997. – № 5. – С. 65-69.
4. Волошук М.И., Мельников О.Ф., Заболотный Д.И. и др. Эффективность местного применения левамизола у больных хроническим тонзиллитом и аденоидитом по данным клинико-иммунологических исследований // Журнал ушных, носовых и горловых болезней. – 1989. – № 2. – С. 50-53.
5. Гарюк О.Г. Технологія керованого кріохірургічного лікування хворих на хронічний некомпенсований тонзиліт з протипоказаннями до тонзилектомії: Автореф. дис. … канд. мед. наук. – Київ, 2003. – С. 4.
6. Драгомирецкий В.Д., Богданов К.Г. Влияние криодеструкции небных миндалин на некоторые показатели местного иммунного гомеостаза у больных хроническим тонзиллитом // Журнал ушных, носовых и горловых болезней. – 1993. – № 3. – С. 28-32.
7. Драгомирецкий В.Д., Бажора Ю.И., Титаренко О.В. Сочетанное применение криотонзиллотомии и низкоэнергетического лазера при хроническом тонзиллите / VIII з'їзд оториноларингологів України: Тези робіт. – Київ, 1995. – С. 111-112.
8. Заболотный Д.И., Мельников О.Ф. Теоретические аспекты генеза и терапии хронического тонзиллита. – К.: Здоров'я, 1999. – 122 с.
9. Зарицька I.C. Порівняльна оцінка впливу місцевого застосування дібазолу та левамізолу на інтенсивність процесів перекисного окисления у хворих на хронічний тонзиліт / Актуальні проблеми оториноларингології: Матер. міжнарод. науково-практич. конф., присвяч. 75-річчю кафедри i клініки оториноларингології Дніпропетровської медичної академії. – Дніпропетровськ, 1997. – С. 68-69.
10. Кищук В.В. Обгрунтування та ефективність консервативної терапії хворих на хронічний тонзиліт електромагнітним полем та хімічними імуномодуляторами: Автореф. дис. ... канд. мед. наук. – Київ, 1996. – 20 с.
11. Лайко А.А., Молочек Ю.А. Вплив місцевого застосування мірамістину та кверцетину після тонзилектомії на стан гуморального імунітету у дітей. Збірник наук. праць НМАПО ім. П.Л. Шупика. Вип. 1. Кн. 2. – Київ, 2002. – С. 605-609.
12. Мельников О.Ф. Современные представления о роли лимфоглоточного кольца в норме и при патологии // Імунологія та алергологія. – 1998. – № 1-2. – С. 64-68.
13. Мітін Ю.В. Оториноларингологія (лекції) – Київ, 2000. – 284 c.
14. Мітін Ю.В., Шевчук Ю.В. Деякі аспекти анатомії і фізіології піднебінних мигдаликів у патогенезі хронічного тонзиліту // Журнал вушних, носових і горлових хвороб. – 2001. – № 1. – С. 23-26.
15. Мітін Ю.В., Шевчук Ю.В. Місце електроміостимуляції в лікуванні хворих на хронічний тонзиліт // Журнал вушних, носових і горлових хвороб. – 2003. – № 4. – С. 7-10.
16. Сапин М.Р. Анатомия человека. – М.: Медицина, 1979. – С. 26-28.
17. Синельников Р.Д. Атлас анатомии человека. – М.: Медицина, 1979. – Т. 2. – С. 40-48.
18. Солдатов И.Б. Руководство по оториноларингологии. Глотка. – М.: Медицина, 1997. – С. 352-353.
19. Хмельницкая Н.М. Оценка функционального состояния небных миндалин у больных хроническим тонзиллитом // Вестник оториноларингологии. – 2000. – № 4. – С. 33-39.
20. Шевчук Ю.В. Електрофоретична рухливість лімфоцитів мигдаликів людини при хронічному тонзиліті // Фізіологічний журнал. – 2004. – Т. 50. – № 2. – С. 101-104.
21. Шевчук Ю.В. Хронічний тонзиліт (питання патогенезу та лікування): Автореф. дис. … канд. мед. наук. – Київ, 2004. – С. 5-14.
22. Eigler C. Med. Klin. – 1965. – 60-31. – 1265.
23. Shevchuk Y., Shutov L., Voitenko N. New prospects in studies of tonsillar pathology development 2004; 5: 108-112.
Применение современных макролидов в педиатрической практике
Терапевтическая эффективность Липоферона липосомального в профилактике и лечении вирусных инфекций
Ежегодная традиционная осенняя конференция Украинского научного медицинского общества оториноларингологов
Эффективность и переносимость экстракта Pelargonium sidoides в лечении острого бронхита