медикаментозное лечение глаукомы
Популярные статьи на тему: медикаментозное лечение глаукомы
Есть болезнь, которую даже врачи называют «опасным тихим злодеем», поскольку человек теряет зрение медленно и незаметно, а обнаружить начало процесс непросто. Глаукома – одна из основных причин слепоты в мире.
Підозра на глаукому – стани, які супроводжуються скаргами пацієнта на затуманення, появу райдужних кілець навколо джерел світла.
Первинна закритокутова глаукома – прогресуюче захворювання, яке виникає при частковій або повній блокаді КПК, що супроводжується періодичним або стійким підвищенням ВОТ, призводить до ураження зорового нерва з розвитком специфічної оптичної нейропатії.
Первинна відкритокутова глаукома – це хронічне прогресуюче захворювання, що вражає зоровий нерв, із розвитком специфічної оптичної нейропатії.
Неоваскулярна глаукома має ознаки як відкритокутової, так і закритокутової глаукоми, а також циклічний перебіг.
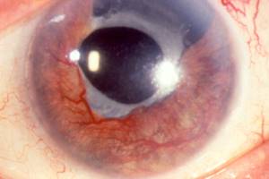
Постувеальна вторинна глаукома має ознаки як відкритокутової, так і закритокутової глаукоми внаслідок поширення запального процесу на дренажну систему ока при кератитах, склеритах та увеїтах.
В соответствии с современными представлениями к психосоматическим расстройствам относят патологические состояния, возникающие при взаимодействии соматических и психических патогенных факторов и проявляющиеся соматизацией психических нарушений.
По данным ВОЗ, в настоящее время в мире насчитывается около 3,7 млн. пациентов с болезнью Паркинсона, в Украине — около 70 тыс. больных (по данным доцента С.П. Московко). Заболевают этим недугом от 70 до 220 человек на...
В настоящее время целесообразность использования глюкокортикостероидов в лечении больных бронхиальной астмой не вызывает сомнений.
Новости на тему: медикаментозное лечение глаукомы
Южнокорейские ученые обнаружили новый фактор риска, который может способствовать ухудшению состояния больных глаукомой – сон на боку приводит к значительному повышению внутриглазного давления, даже если в положении сидя его показатели близки к норме.
12 марта во всем мире отмечался Всемирный день борьбы с глаукомой, который проводится с 2008 года по инициативе Всемирной ассоциации обществ глаукомы (WGA) и Всемирной ассоциации пациентов с глаукомой (WGPA). В Украине с 2008 года этот день отмечается тоже.
