лечение головного мозга
Вопросы и ответы по: лечение головного мозга
ЗАКЛЮЧЕНИЕ:
ЭЭГ вне пределов нормы.
Регистрируются умеренные диффузные изменения без локальной медленноволновой активности.
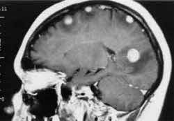
Классических форм эпилептиформной активности не выявлено. Регистрируются единичные диффузные острые волны альфа-,бета- диапазона. Лёгкие ирриативные изменения без чёткой локализации. Возможна лёгкая дисфункция срединных структур.Когда случился после операции первый приступ сделали МРТ рецидива не обнаружено, но есть рубцово-атрофические изменения головного мозга. Как нам остановить эти приступы и из-за чего они образуются если убрали опухоль,которая их давала?Помогите пожалуйста подобрать схему лечения. Может стоит принимать не "Финлепсин"ретард, а таблетки простые или увеличить дозировку?Заранее благодарна
Помогите, пожалуйста расшифровать результаты анализов. Сразу оговорю, что на анализы направили, из-за частых головокружений, которые в последнее время привели даже к двум приступам с судорогами... Была сделана компьютерная томография головного мозга, в результате которой обнаружен небольшой очаг в правой височной доле... Но нейрохирург ничего страшного не увидел в снимках и направил сдать кровь на инфекции...
результаты анализов напишу только те ,которые положительные:
Герпес lg-G 2 тип (половой) 37.8 ИА при >1.1 ИА-положительный
Цитомегаловирус lg-G 3.28 IU/ml >1,0 IU/ml- положительный
могут ли эти инфекции быть связаны с очагом или головокружениями и какие еще могут потребоваться дальнейшие анализы для обследования???
и что вы посоветутете с лечением?
мне сейчас 19 лет...
заранее спасибо за ответ и прошу прощения если вопросы некорректны
Популярные статьи на тему: лечение головного мозга
Среди причин хронической цереброваскулярной недостаточности главенствующее место занимает атеросклероз сосудов головного мозга. Его патогенез в значительной степени обусловлен дисфункцией сосудистого эндотелия.
Сосудистые заболевания головного мозга – одна из ведущих причин смертности и инвалидизации населения всего мира. Окклюзия сосудов, питающих головной мозг, является начальным звеном в цепочке неблагоприятных изменений, которые приводят к грубым нарушениям.
Эпилептический статус определяется как длительное патологическое состояние изменений поведения, сознания, двигательных функций больного, обусловленное постоянными эпилептическими разрядами нейронов головного мозга.
Лечение сосудистых заболеваний головного мозга по-прежнему является актуальной проблемой современной медицины [1]. Большое значение в настоящее время придается профилактике и ранней диагностике сосудистых нарушений при спондилогенных заболеваниях [2,3],..
Легкая закрытая черепно-мозговая травма является одним из наиболее частых повреждений головного мозга, составляющих 74-83% всех нейротравм, которым подвержены люди молодого и наиболее трудоспособного возраста. Большой процент нетрудоспособности как в...
Данные трехлетнего наблюдения в динамике по критериям открытого сравнительного рандомизированного анализа Сосудистые заболевания головного мозга — одна из ведущих причин заболеваемости, смертности и инвалидизации в Российской Федерации. В...
В основе развития хронической цереброваскулярной патологии лежат различные этиологические факторы, к которым относятся артериальная гипертензия, атеросклероз и сахарный диабет [3]. В патогенезе этого сосудистого заболевания головного мозга важное...
Человек определяет интенсивность боли по лицу другого человека. Влияние алкоголя на прогноз травмы головного мозга. Взрослая форма болезни Ниманна-Пика типа С.
Сосудистые заболевания головного мозга являются одной из важнейших проблем современной неврологии. Возрастающая распространенность, высокая смертность, глубокая инвалидизация больных с весьма ограниченными перспективами восстановления нарушенных функций..
Новости на тему: лечение головного мозга
Глиома, злокачественное новообразование головного мозга, несмотря на распространенность этого недуга, все еще не побеждена онкологами и продолжает уносить жизни людей. Познание ее секретов позволило группе ученых создать принципиально новое лекарство.
Справедливая околомедицинская присказка согласно которой «все болезни от нервов» известна всем, однако не все знают, что верным является и обратное утверждение - почти все болезни так или иначе накладывают отпечаток на состояние нервной системы и прежде всего, на состояние клеток головного мозга. Особенно сильное влияние на состояние и функцию нервных клеток оказывают всевозможные травмы черепа, вирусные и бактериальные нейроинфекции, интоксикации, сосудистые заболевания (например, атеросклероз мозговых сосудов), а также некоторые наследственные болезни (такие, как болезнь Альцгеймера).
Австралийские ученые обнаружили еще один важный резервуар ВИЧ инфекции: он находится в головном мозге человека. Эта важная находка, тем не менее, указывает на то, что путь к созданию лекарства от заболевания будет нелегким. Препараты, которые можно было бы успешно применять для уничтожения клеток в других резервуарах инфекции, таких как селезенка, кишечник и костный мозг, будут разрушительно действовать на головной мозг.
Новое небольшое исследование показало, что глубокая стимуляция головного мозга может улучшить жизнь людей с резистентной к лечению депрессией
У молодых женщин, перенесших анорексию в подростковом возрасте и не выздоровевших полностью, отмечаются персистирующие изменения в структуре и функциях головного мозга, что, в частности, отражается на когнитивной функции
Сфокусированное лучевое лечение, известное под названием стереотаксическая хирургия, является безопасным методом лечения и продлевает жизнь некоторым пациентам с рецидивом опухолей головного мозга, сообщают ученые
Британские ученые сообщили об открытии процессов, происходящих в головном мозге больных шизофренией и обуславливающих у них возникновение психических эпизодов
Из-за отсутствия эффективных лекарств для лечения деменции единственным способом уберечься от этого заболевания остается профилактика. Ученые получили новые данные, свидетельствующие о том, что регулярные физические нагрузки замедляют старение мозга.
Одна американская компания в первых числа июня приступила к производству носимого устройства, которое, по утверждению его создателей, способно как успокаивать нервную систему, так и в случае необходимости стимулировать деятельность головного мозга.
