Офтальмологія

Ретробульбарний неврит при пізньому сифілісі
Читати далі
Ретробульбарний неврит при пізньому сифілісі

Атрофія зорового нерва при прогресуючому паралічі й табесі (tabes dorsales – сухотка спинного мозку) – прогресуюче захворювання, що призводить до двобічної сліпоти.

Рваная травма глаза с выпадением или утратой внутриглазных тканей
Читати далі
Рваная травма глаза с выпадением или утратой внутриглазных тканей

Скарги: біль, зниження зору. Клініка: розрив очного яблука – виражений субкон’юнктивальний крововилив, глибша або мілкіша передня камера, порівняно з протилежним оком, гіфема, обмеження рухів ока, можливе витікання внутрішньоочного вмісту з очного яблука;

Рвана рана ока без випадіння чи втрати внутрішньоочної тканини
Читати далі
Рвана рана ока без випадіння чи втрати внутрішньоочної тканини

Рвана рана ока без випадіння чи втрати внутрішньоочної тканини є наслідком непроникаючої рани ока (без наскрізного пошкодження рогівки або склери).

Проникаюча рана очного яблука без стороннього тіла
Читати далі
Проникаюча рана очного яблука без стороннього тіла

Проникаюча рана очного яблука без стороннього тіла є наслідком порушення цілісності рогівки або склери. Наявність проникаючого поранення рогівки з ушкодженням або без ушкодження райдужки, кришталика;

Проліферативна вітреоретинопатія з відшаруванням сітківки
Читати далі
Проліферативна вітреоретинопатія з відшаруванням сітківки

Проліферативна вітреоретинопатія – фіброваскулярна проліферація з утворенням патологічних мембран на поверхні сітківки, циліарного й склистого тіла.

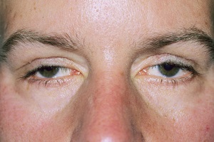
Прогресуюча зовнішня офтальмоплегія (Синдром Кернза-Сайра)
Читати далі
Прогресуюча зовнішня офтальмоплегія (Синдром Кернза-Сайра)

Птоз, обмеження рухів ока (іноді – повна нерухомість), зіниці нормальні, диплопія, слабкість кругового м’язу, м’язів кінцівок та обличчя, експозиційна кератопатія. Процес двобічний.

Післяопераційний увеїт
Читати далі
Післяопераційний увеїт

Післяопераційний запальний процес має переважно легкий або середньої тяжкості перебіг, який минає в межах 6 тижнів.

Периферична дегенерація сітківки (решітчаста, мікрокістозна, бруківкоподібна)
Читати далі
Периферична дегенерація сітківки (решітчаста, мікрокістозна, бруківкоподібна)

Решітчаста дегенерація – чітко обмежений, циркулярно орієнтований дистрофічний процес, що локалізується спереду від екватора.

Передня ішемічна невропатія зорового нерва (ішемічна невропатія, компресія зорового нерва)
Читати далі
Передня ішемічна невропатія зорового нерва (ішемічна невропатія, компресія зорового нерва)

Передня ішемічна невропатія зорового нерва – стеноз або оклюзія артерій, які забезпечують живлення зорового нерву (головним чином, це порушення кровообігу в системі задніх коротких циліарних артерій).

Первинна закритокутова глаукома
Читати далі
Первинна закритокутова глаукома

Первинна закритокутова глаукома – прогресуюче захворювання, яке виникає при частковій або повній блокаді КПК, що супроводжується періодичним або стійким підвищенням ВОТ, призводить до ураження зорового нерва з розвитком специфічної оптичної нейропатії.

Паралітична косоокість (параліч окуломоторного, блокового, відвідного нервів, зовнішня офтальмоплегія)
Читати далі
Паралітична косоокість (параліч окуломоторного, блокового, відвідного нервів, зовнішня офтальмоплегія)

При паралічах черепно-мозкових нервів головною скаргою є бінокулярна диплопія, яка зникає при закриванні одного ока.

Оклюзія центральної вени сітківки, оклюзія гілки центральної вени сітківки
Читати далі
Оклюзія центральної вени сітківки, оклюзія гілки центральної вени сітківки

Оклюзія центральної вени сітківки – дифузні крововиливи в усіх квадрантах сітківки, розширення та звивистість вен, валоподібні плями, набряк диску зорового нерва, утворення оптикоциліарних шунтів на диску, неоваскуляризація диска, райдужки та сітківки.

Оклюзія центральної артерії сітківки, оклюзія гілки центральної артерії сітківки
Читати далі
Оклюзія центральної артерії сітківки, оклюзія гілки центральної артерії сітківки

Оклюзія центральної артерії сітківки – поверхневе помутніння або побіління сітківки на задньому полюсі та наявність червоної плями у центрі макули.

Ністагм
Читати далі
Ністагм

Ністагм – коливання ока, що повторюються, в горизонтальному чи вертикальному напрямках або його обертання. Етіологія: вроджений або набутий.

Інші хвороби сітківки: гіпертензивна ретинопатія
Читати далі
Інші хвороби сітківки: гіпертензивна ретинопатія

Гіпертензивна ретинопатія – процес найчастіше безсимптомний, іноді може супроводжуватися погіршенням зору, спостерігається генералізоване або локальне звуження артеріол сітківки, симптоми «мідного» або «срібного» дроту, валоподібні ексудати.

Невус, вроджений дифузний меланоз райдужки, міома (безпігментна міома, пігментна міома)
Читати далі
Невус, вроджений дифузний меланоз райдужки, міома (безпігментна міома, пігментна міома)

Невус – вроджений стан, ділянка райдужки з гіперпігментацією, має чіткі межі, у центральній ділянці гіперпігментації відсутній малюнок райдужки;

Неврит зорового нерва (папіліт, ретробульбарний неврит)
Читати далі
Неврит зорового нерва (папіліт, ретробульбарний неврит)

Неврит зорового нерва – втрата зору, яка виникає протягом годин або днів з максимальним розвитком симптомів через тиждень від початку захворювання.

Застійний диск зорового нерва. Синдром Фостера-Кеннеді.
Читати далі
Застійний диск зорового нерва. Синдром Фостера-Кеннеді.

Застійний диск зорового нерва – наслідок підвищення внутрішньочерепного тиску.

Меланома райдужки
Читати далі
Меланома райдужки

Меланома райдужки – однобічне коричневе або безбарвне утворення на райдужці, яке повільно збільшується, має понад 3 мм у діаметрі в основі та понад 1 мм у глибину, часто помітні судини, що живлять пухлину; може призвести до вторинної глаукоми.

Ксантелазма
Читати далі
Ксантелазма

Ксантелазма (Xanthelasma) – вогнищеве скупчення холестерину внаслідок порушення ліпідного обміну у вигляді пласких плям лимонно-жовтого кольору, розташованих на шкірі повіки. Буває дифузної, вузлуватої, туберозної форми.

Крововилив у склисте тіло, помутніння та дегенеративні зміни склистого тіла
Читати далі
Крововилив у склисте тіло, помутніння та дегенеративні зміни склистого тіла

Крововилив у склисте тіло – гемофтальм. При масивному крововиливі у склисте тіло червоний рефлекс з очного дна відсутній, офтальмоскопія неможлива. При боковому освітленні за кришталиком видна аморфна маса з червоним відтінком.

1 2 3 4 5 6 7 8 9 ...
всего 9 страниц