боль в локте
Вопросы и ответы по: боль в локте
Буду искренне признательна за консультацию!
С уважением, Марина
заранее спасибо
Обошла кучу клиник в Корее и у себя в Узбекистане, сдала всевозможные анализы, энмг (замедленная передача импульса) и мрт (единичные очаги белого вещества, сосудистый генез. И в Корее и в Узб уверяют, что это не РС) - в итоге не один врач не смог поставить диагноз.
Недавно прошла анализы по своей инициативе на ВЭБ и HHV6, в крови не обнаружено, а вот в слюне (качественный) положительно и (количественно) ВЭБ-280 копий/мл
HHV6-2880 копий/мл
Требуется ли лечение при данных показателях? Т.е вирус в активной форме или нет? И может ли быть такая разнообразная клиника от вирусов герпем?
Единственный иммунолог еще мес будет в отпуске, поэтому прошу помочь.
Последняя иммунограмма:
Норма : Пациент
Лейкоциты (4000-9000) : 7400
Лимфоциты% (25-40) : 23
Лимфоциты, мкл (1600-2600) : 1702
CD3+(общ пул%) (51-68) : 55
CD3+, мкл (800-1700) : 936
CD4+Т-хелперы% (32-40) : 29
СD4+, мкл (580-1100) : 494
CD8+ циток-е лим% (19-28) : 26
CD8+, мкл (350-443) : 443
ИРИ CD4/CD8 (1,5-2,0) : 1,1
CD16+,ест киллеры% (10-18) : 21
CD20+(B-лимф)% (18-26) : 21
CD20+, мкл (290-700) : 357
СD23% (16-24) : 20
CD38 предшеств Т и В лимф% (6-31) : 24
CD95 фактор аптоза% (16-24) : 20
Гуморальное звено иммунитета
IgG (7,5-12,2) : 10,20
IgA (0,38-0,74) : 2,10
IgM (<20) :16
ЦИК крупные (связанные с Ig M),у.е. (<40) : 22
Заключение:
Дисбаланс иммунорегуляторных популяций Т-лимфоцитов. ИРИ подавлен. Повышенно число естественных киллеров. Имуноглобулин А повышен.
Пропила циклоферон и в/м поликсидоний, но стало только хуже.
Хочу попробовать вальцит.
Заранее спасибо за ответ!
АЛС-О - 248 мо/ мл ( норма до 200)
Ревматоидный фактор 15,8 мо/ мл ( норма до 14)
Мочевая к-та - 288 мкмоль/л ( норма до 339,2)
С- реактивный белок -1.2 мг/ л ( норма до 5,0)
Популярные статьи на тему: боль в локте
45-летняя женщина из северного Онтарио (провинция Канады) поступила в местную больницу, имея в анамнезе в течение 2 лет асимметричные мигрирующие артралгии в области левого колена, голеностопных суставов, локтей и пальцев.
Головокружение — иллюзорное восприятие человеком собственных и внешних движений. Эта жалоба встречается у 3-5% пациентов, обращающихся за медицинской помощью к врачу общей практики и у 10% пациентов — при обращении к невропатологу...
В течение последних десятилетий происходит очень быстрое накопление знаний в области нейронаук, в частности эпилептологии.
Артериальная гипертензия – одно из самых распространенных сердечно-сосудистых заболеваний, которое представляет собой огромную угрозу здоровью и жизни населения.
Политравма – ведущая причина смертности и инвалидности у детей в возрасте более года. Ежегодно в Украине регистрируется 2-2,5 тыс. травматических смертей у детей в возрасте от 1 до 18 лет.
Аллергия на руках – очень частое проявление аллергической реакции в виде различных поражений кожи на пальцах рук, ладонях и кистях.
Многие люди (и мужчины, и женщины) считают грудь самой выдающейся и привлекательной частью женского тела. Поэтому многие девушки и женщины, недовольные своими формами, прикладывают множество усилий, чтобы грудь была достаточно большой, упругой и красивой.
Дистония — это своего рода НЛО в медицине: все о ней слышали, но мало кто видел. Что же скрывает за собой этот загадочный диагноз?
В эпоху сплошной компьютеризации проблема глазных заболеваний, связанных с многочасовым просиживанием за монитором, становиться как никогда актуальной. От работы за компьютером отказаться нереально - это ясно всем, но как при этом сохранить зрение?
Новости на тему: боль в локте
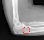
Несмотря на свой возраст, 41-летний англичанин продолжал играть в большой теннис. Когда у него начались боли в локте, врачи решили, что это спортивная травма. Но боли лишь усиливались. Между тем, первый же рентген показал, что в локте у него игла.
В современном мире уже известно о ряде состояний, связанных с использованием компьютеров и мобильных телефонов, например о боли в запястьях или пальцах от бесконечного набора СМС-сообщений. Синдром локтевого туннеля характеризуется болью в области локтя, которая может сопровождаться онемением или покалыванием. Он вызван компрессией локтевого нерва, причиной чему являются слишком частые и продолжительные разговоры по мобильному телефону.
Еще 16 лет назад англичанин попал в автокатастрофу, окончившуюся для него переломом левой руки. Врачи вылечили его, но с тех пор пациент стал утверждать, что испытывает в этой руке сильные боли. Наконец, он решил заняться радикальным самолечением.
Периодически возникающими сильными головными болями в некоторых странах страдает до четверти взрослого населения. Понятно, что поиском новых эффективных средств от мигрени заняты многие ученые. Однако последняя новинка понравилась не всем пациентам.
Существует немало заболеваний, которые прямо связаны с основной профессией человека: силикоз шахтеров, писчий спазм бухгалтеров, локоть теннисиста и тому подобное. Во многих странах люди, у которых возникают подобные болезни, нередко через суд требуют от работодателей деньги на лечение. В перечне подобных недугов вскоре может появиться новая нозологическая единица – «черный палец», заболевание сопровождающееся болевыми ощущениями в области большого пальца из-за постоянного набора текстов для SMS-сообщений. Теперь люди, которым по роду работы (например, рекламные и страховые агенты) приходится ежедневно рассылать множество текстовых сообщений, вполне могут рассчитывать на компенсацию в случае развития у них этого заболевания. Правда им придется доказывать в суде, что сухожилия пальца были растянуты на производстве, а не в переписке с друзьями и подругами.
Южно-Африканская Республика удерживает одно из первых мест в мире по заболеваемости СПИДом – поэтому программа обеспечения населения бесплатными презервативами имеет для ЮАР огромное значение. Но эта программа неожиданно оказалась под угрозой срыва…
Любитель компьютерных игр, не расстававшийся с геймпадом на протяжении 4-х дней, довел себя до такого состояния, что врачам удалось спасти его с большим трудом. Зато его тяжелое заболевание обогатило медицину новым термином – «тромбоз геймера».
Опасность бытового травматизма может подстерегать не только на улице, но и в собственном доме, где, казалось бы, знаком каждый предмет. Особенно страшно, когда страдают дети, как трехлетний английский мальчик, ставший жертвой своего любопытства.
Людям, пережившим травмы, часто приходится пользоваться тростью. Без нее даже несколько шагов могут стать большим затруднением. Учитывая продолжительность времени, в течение которого необходимо будет пользоваться тростью, уделите ее выбору достаточное внимание, советует Американское гериатрическое общество
