лечение десен зубов
Вопросы и ответы по: лечение десен зубов
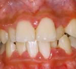
В этом году это же место ,а затем и в районе верхнего клыка десны воспалились.Лечила метрогил дента.ротоканом.
Нижняя десна не стала болеть,в верхняя болела больше 3х недель,зуб пломбированный и нарощенный год назад стал подвижным,десна сверху припухла.Доктор удалила этот зуб ,сказала-через месяц на потезирование,десны продолжать лечить ,=в принципе-ничего страшного,гноя нет= Лечение то же самое,только почему то метрогил денту отменила.
вопросы= Достаточно ли это лечение?
Я поняла по вашей статье ,что у меня может быть 2 стадия ,т.к. нижние передние
зубы в середине как бы сместились в сторону в этом году,немного подвижные.Зуда никогда не было,кровоточат редко,десны бледные,в середине где нижние передние сместились,и где иногда-2-3 раза в год воспаляется,чуть покрасневшее место.
Мое лечение-чищу зубы 2 раза,при этом массаж десен,полоскаю ротоканом,при воспалении-аппликации с метрогил дента ,который доктор почему то отменила.
Правильно ли мое лечение,и,что еще надо делать? Спасибо.
Нахожусь в полной растерянности и хотела спросить ещё у вас совета. У меня слева внизу стоял мост металлокерамики.Когда он расцементировалсяи я хотела его поставить назад, доктор сказал мне пролечить дёсны и только потом ставить. После первой же процедуры "повязка с трихополом" у меня начались ужасные боли. Доктор сказал что у меня образовался пролежень от керамики и назначил линкомицин в/м и метилурацил. Боли прошли,опухоль сошла, но я заметила что теперь в промежутке между десной и щекой образовалась шишка.Она не болит и абсолютно не беспокоит, зуб тоже над этой шишкой не беспокоит. Доктор говорит что нужно делать резекцию корня зуба. Перечитала множество статей в интернете про причины, когда делают резекцию и не нашла у себя ни одного симптома. Посоветуйте мне пожалуйста или подскажите может мне и нет необходимости делать резекцию (когда мне в прошлый раз делали, на других зубах, корень снова воспалялся и приходилось по второму разу делать), или может есть ещё и другие методы лечения корней зуба???
С уважением
Елена
Может быть за корнем скрытый очаг воспаления (гнойный мешочек), который не при всех проекциях будет виден на снимке. А зуб не болит потому, что есть отток для гноя, но если свищ зарастёт - появится боль и припухлость десны и щеки.Чтобы точно знать где именно находится очаг воспаления, необходимо сделать рентгеновский снимок зуба с рентгенконтрастным веществом, которое вводится прямо в свищевой ход со шприца под давлением. И обязательно снимок Придаточных полостей носа, чтобы исключить Гайморит. А со свищом обязательно надо бороться, потому, что часть гноя выходит через свищ, а часть всасывается в кровь, - это хроническое отравление организма токсинами, страдает сердце, суставы, почки – может быть хрониосепсис, общая слабость, без причины недомогание. Поэтому новые снимки и консультации стоматолога и ЛОР – врача
Обязательны. А пока совет из Народной медицины: аппликации на свищ смесью буряка с мёдом (если у Вас нет Сахарного диабета). Натереть на мелкой тёрке сырой красный борщевой буряк, взять 1-ст. ложку + 1-ст. ложку мёда, перемешать в ёмкость и в холодильник. Брать по ½ ч. ложки на ватный тампон и прикладывать к десне на 30-40 минут – 3-4 раза в день. Это вкусное лекарство, слюну глотать. Эффект очень хороший:
Снимает отёк, вытягивает гной и способствует заживлению. Но это не заменит главного лечения, которое будет направлено на устранение причины заболевания.
Желаю Вам крепкого здоровья!
Популярные статьи на тему: лечение десен зубов
Стоматологическое заболевание, известное как ретенция зуба, хотя и не столь распространено как, например, кариес или пульпит, тем не менее, встречается в практике стоматологов достаточно часто.
Мы уделяем много внимания состоянию и внешнему виду зубов. А вот деснам почему-то достается меньше заботы, хотя от них так же зависит здоровье ротовой полости. Заболевания десен могут привести к болям, порче и потере зубов, проблемам со свежестью дыхания.
Пародонт - комплекс тканей, который питает, защищает, фиксирует и удерживает наши зубы. Теперь понятно, почему пародонтит (воспаление пародонта) грозит большими неприятностями, вплоть до необратимых - потери зубов. Узнайте, как не допустить катастрофы.
В 1987 году в Николаевской области были зарегистрированы тяжелые полинейропатии, возникающие после приема в пищу съедобных грибов: рыжиков и лисичек. Цель данной публикации — привлечь внимание врачей различных специальностей к нерешенной...
Развернутая клиническая картина характеризуется расширением вен на передней брюшной стенке, варикозным расширением вен пищевода и желудка, геморроидальных вен, гепато-, спленомегалией, геморрагическими проявлениями.
Переход с 1.01.07 г. на новые стандарты регистрации рождения новорожденных с 22 недель предъявляет особые требования не только к акушерам-гинекологам и неонатологам, но и к врачам других специальностей.
Междисциплинарные вопросы всегда привлекали большое внимание практических врачей в силу сложности возникающих клинических задач и необходимости согласования тактики ведения больных различными специалистами. Одним из заболеваний, требующих такого...
Окончание. Начало статьи Альвеолярный гребень как составная часть костной системы опорного скелета реагирует на экзо- и эндогенные факторы, воздействующие на организм человека. На рисунке представлены факторы, обусловливающие развитие...
Остеопороз — распространенное системное заболевание скелета, характеризующееся низкой костной массой и нарушениями микроархитектоники костной ткани, что приводит к увеличению ломкости костей и риска переломов. В последние десятилетия данная...
Новости на тему: лечение десен зубов
Лечение заболеваний зубов и десен с помощью электрофореза применялось в стоматологии и ранее, однако на завершающем этапе терапии встреча больного с бормашиной была неизбежной. Сейчас ученые предлагают лечить кариес минерализацией ткани зуба.
Профессор медицины, патриарх британской детской стоматологии опубликовал статью, в которой подверг своих коллег зубодробительной критике, досталось и родителям детишек. Уважаемый эскулап обвиняет детских дантистов в недостаточном внимании к здоровью молочных зубов у детей, поскольку очень многие врачи считают, что возиться с «временными» зубами незачем – все равно они выпадут. Между тем, такое пренебрежение чревато хронической болью, распространением инфекции в опасной близости от головного мозга и даже заражением крови.
Заболевания полости рта и, прежде всего, пародонтоз поражают все больше людей. Хроническое воспаление десен приводит к расшатыванию зубов и их неизбежной потере. К тому же, как установили в последнее время врачи, наличие постоянного воспаления является фактором риска развития заболеваний сердца. Пародонтоз лишает человека зубов, что является не только косметическим дефектом, но и приводит к значительным нарушениям в работе желудочно-кишечного тракта. До последнего времени выход был один – удаление «болтающихся» в десне зубов и протезирование. Однако американские ученые разработали метод, который позволяет благодаря применению стволовых клеток прочно закрепить на своем месте собственные зубы.
Заболевания зубов и полости рта часто связаны с сильной болью или выраженными неприятными ощущениями. Кроме того, и лечение таких недугов также сопряжено с болью и повреждениями слизистой рта и десен. На помощь в таких случаях придет Солкосерил дентальная адгезивная паста – ваш надежный помощник в заживлении ран и язвочек, который также обладает и выраженным болеутоляющим действием.
На протяжении последних лет ученые обнаружили ранее неизвестные вредные последствия курения конопли. В большинстве своем такие последствия были связаны с ухудшением функций мозга – однако увлечение марихуаной может оставить человека и без зубов.
Минздрав США предупреждает молодых родителей о том, что применять обезболивающие гели для облегчения состояния младенцев, у которых режутся зубы, можно только по назначению педиатра. В противном случае можно нанести большой вред здоровью ребенка.
Многие исследователи объясняют постоянный рост заболеваемости специфическими болезнями десен неправильным питанием современных людей. Это верно, но лишь отчасти: немецкие ученые считают, что вину следует возлагать и на сидячий образ жизни.
Лечение кариеса и другие стоматологического вмешательства связаны с сильной болью. Некоторые пациенты переживают сильнейший стресс даже при попытке врача сделать инъекцию местного анестетика. А назальный спрей эффективен и не требует шприцев и игл.
Утверждение о том, что у каждого человека должны вырасти именно 32 зуба не верно – многие люди «ограничиваются» только 28-ю зубами. Обычно это врожденное свойство, но есть и субъективные факторы: например, посещение кабинета стоматолога в детстве.
